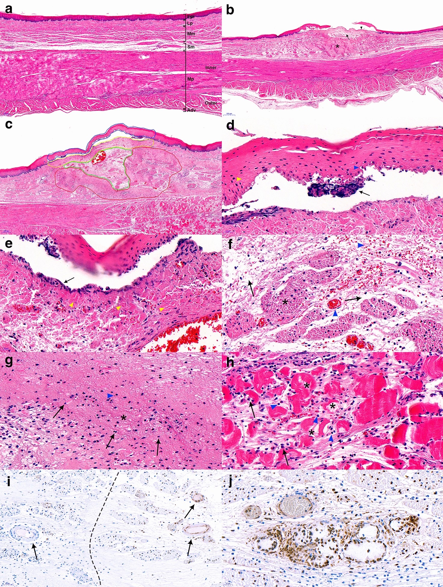
Figure 4

Histologic analysis of post-esophageal ablation tissue. (a) The normal esophageal wall shows a well-preserved morphology [40×, hematoxylin and eosin (H&E) staining]; (b) Ablated esophageal histology with 1500 V reveals edema and extensive submucosal necrosis (asterisk—necrosis, arrow—edema, arrowhead—epithelial detachment, 20×, H&E); (c) Ablation with 2000 V demarcates five compartments (blue line as zone 1, yellow lines as zone 2, green line as zone 3, red line as zone 4, and white line as zone 5); (d) Zone 1—detachment of the stratified squamous epithelium (yellow arrowhead—polygonal epithelium, blue arrowhead—edematous change, black arrow—clumped cells, × 400, H&E); (e) Zone 2—fibrotic lamina propria infiltrated by inflammatory cells (yellow arrowhead—dense fibrotic change, black arrowhead—karyolysis, 400 × , H&E); (f) Zone 3—edematous submucosa with congested blood vessels and degenerating smooth muscle cells (asterisk—degenerated muscularis mucosa, black arrow—edema, blue arrowhead—congestion with some hemorrhage, 400×, H&E); (g) Zone 4—extensive necrosis in the submucosa (asterisk—necrosis, black arrow—lymphocyte, blue arrowhead—small fragments of dead nuclei, karyorrhexis, 400×, H&E); (h) Zone 5—necrotic muscularis propria with inflammatory cells (asterisk—necrotic muscularis propria, black arrow—plasma cell, blue arrowhead—lymphocyte, 400×, H&E); (i) Vessels in the submucosal layer with terminal deoxynucleotidyl transferase (dUTP) nick end labeling (TUNEL) assay demarcating ablated and unablated areas (200×) with brown-stained nuclei (left, unablated; right, ablated); (j) Apoptotic submucosal gland with the maintenance of structural integrity (400×, TUNEL).