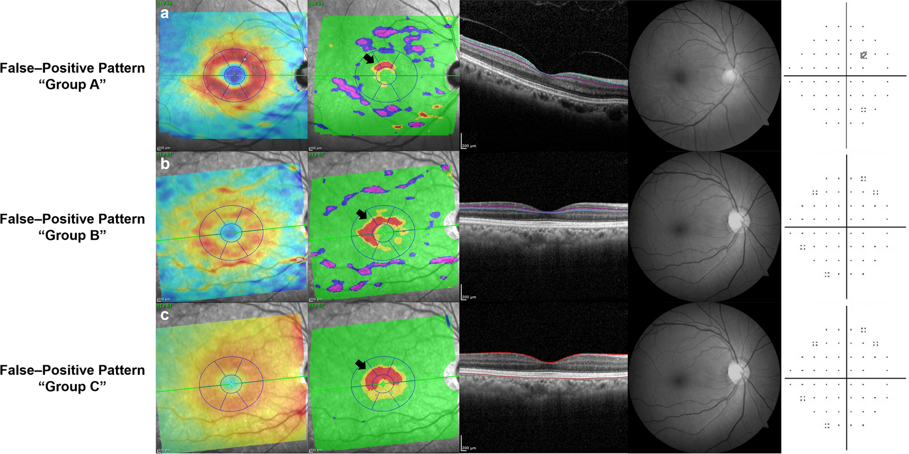
Figure 3

False-positive patterns on deviation maps of segmented macular layers on Spectralis OCT. Each labeled row (a–c), from left to right, consists of a thickness map, a deviation map, a corresponding B-scan with colored lines demarcating the segmented layer, red-free retinal nerve fiber layer (RNFL) photography and Humphrey (Carl Zeiss Meditec, Dublin, CA, USA) C24–2 visual field. (a) Healthy eye of 58-year-old female with pattern group A (island shape circumpassing less than 180° in area) on ganglion cell layer (GCL) deviation map. (b) Healthy eye of 66-year-old female with pattern group B (hook shape circumpassing more than 180° but less than 360° in area) on inner plexiform layer (IPL) deviation map. (c) Healthy eye of 66-year-old female with pattern group C (donut shape around inner annulus, circumpassing 360° in area) on retinal layer deviation map.