Figure 5

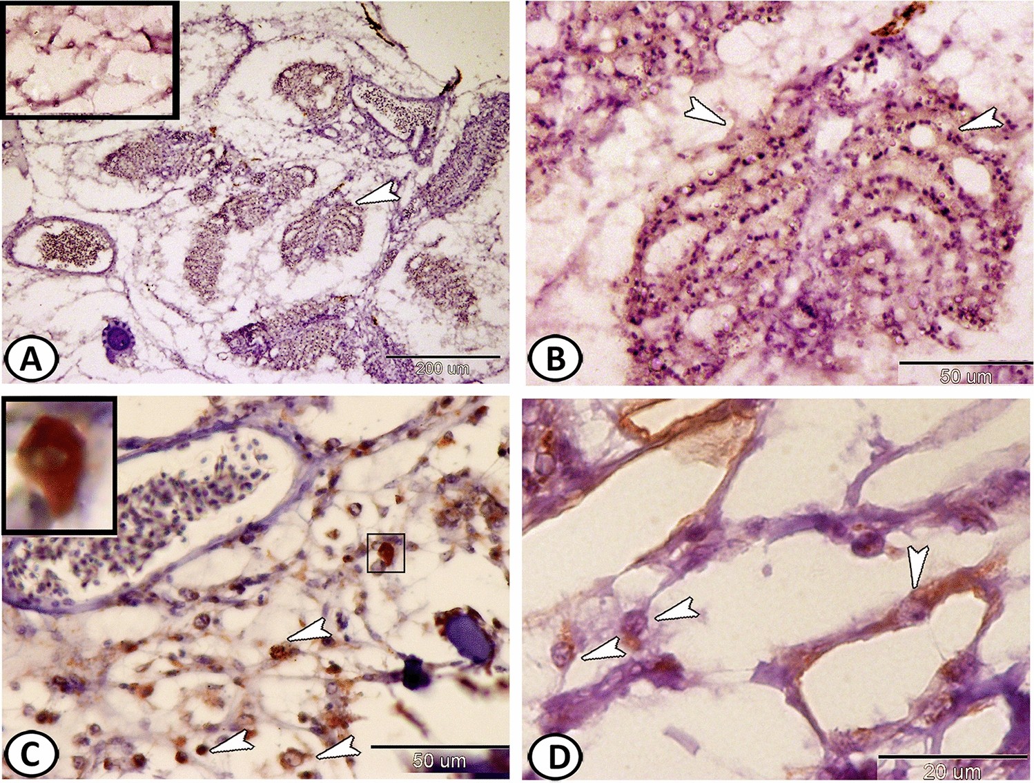
Immunohistochemical expressions of CD45 and APG-5 in the pseudobranch. (A,B) The PSCs (arrowheads) showed expressions for CD45. Note the distributed leucocytes in the connective tissue. (C,D) Macrophages (arrowheads) expressed APG-5.

Immunohistochemical expressions of CD45 and APG-5 in the pseudobranch. (A,B) The PSCs (arrowheads) showed expressions for CD45. Note the distributed leucocytes in the connective tissue. (C,D) Macrophages (arrowheads) expressed APG-5.