Figure 4
From: The interaction of Schistosoma mansoni infection with diabetes mellitus and obesity in mice

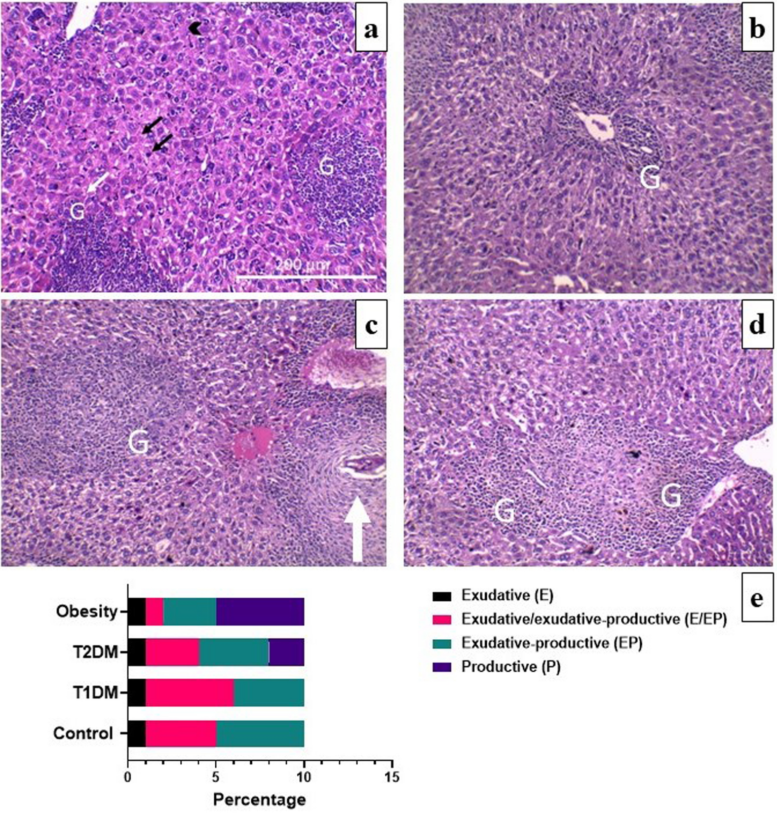
Histopathological changes of liver sections of Schistosoma mansoni infected mice (H&E). (a) in control groups showing exudative productive multiple granulomas (G) surrounded by concentric ring of epithelioid cells, eosinophils, and lymphocytes. Note the disorganized hepatic strands, dilated sinusoids, hyper eosinophilic hepatocytes (small black arrow), hypertrophied Kupffer cell (black arrowhead) and necrotic hepatocytes (small white arrow) adjacent to the granuloma. (b) in type 1 diabetes mellitus (T1DM) groups showing slightly reduced granuloma. (c) in type 2 diabetes mellitus (T2DM) groups showing exudative productive multiple granulomas with trapped central egg (large white arrow) with some degrees of macrosteatosis. (d) in obesity groups showing productive multiple granulomas with some degrees of macrosteatosis. (e) Percentage of different stages of hepatic granuloma formation / 1 mm2 of infected control, T1DM, T2DM, and obesity groups. There were no significant differences between control and infected groups, P > 0.05. (n = 10 per group).