Figure 6
From: The interaction of Schistosoma mansoni infection with diabetes mellitus and obesity in mice

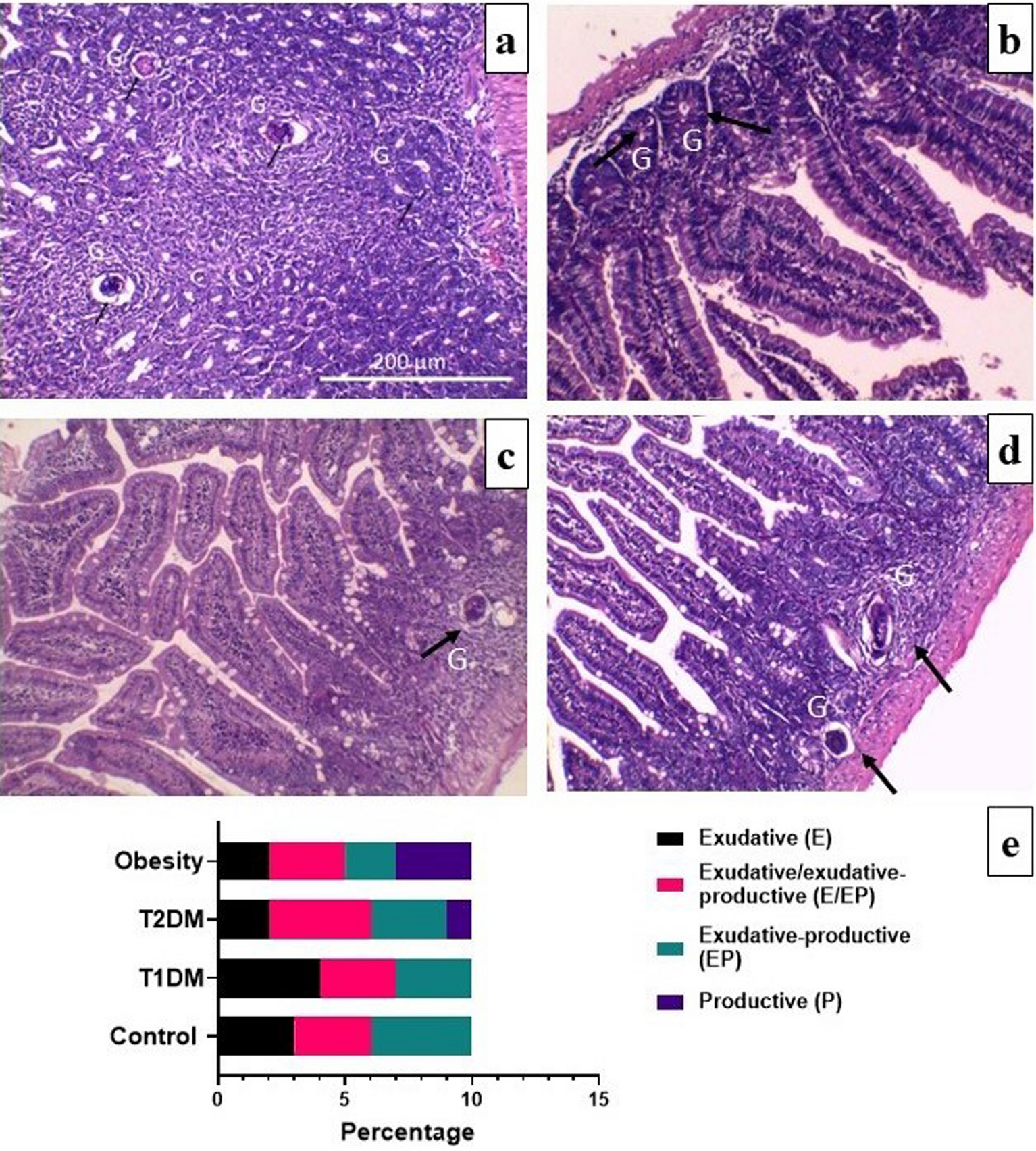
Histopathological changes of intestinal sections of Schistosoma mansoni infected mice (H&E). (a) in control group showing multiple granulomas (G) with trapped central egg (black arrow) surrounded by concentric ring of epithelioid cells, eosinophils, and lymphocytes. (b) in type 1 diabetes mellitus (T1DM) group showing remarkably reduced granulomas. (c) in type 2 diabetes mellitus (T2DM) group showing some degrees of macrosteatosis. (d) in obesity group showing multiple granulomas with some degrees of macrosteatosis. (e) Percentage of different stages of intestinal granuloma formation / 1 mm2 in the infected control, T1DM, T2DM, and obesity groups. There were no significant differences between control and infected groups, P > 0.05. (n = 10 per group).