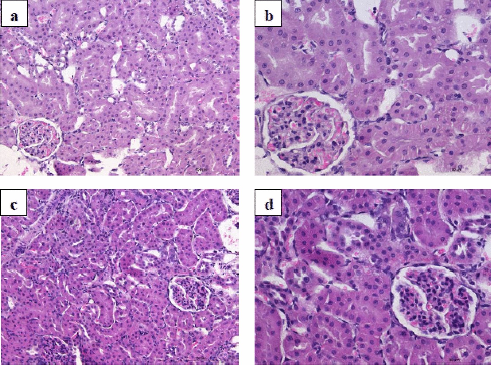
Figure 6

Photomicrographs of HE-stained rat kidney sections. Tissues were stained with haematoxylin and eosin, and image was captured under light microscope with × 20 (a,c) and × 40 (b,d) magnifications; (a,b) tissues from control rats; (c,d) tissues from rats treated with 1/10 MTD of WD-POM (200 mg per kg). No difference between the kidney tissues from the treated and control rats.