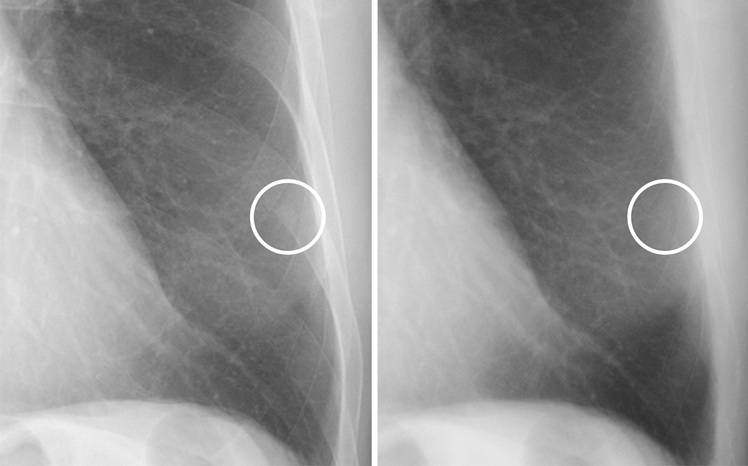
Figure 1

A case of a calcified nodule overlapping with the bone. (left) On the standard image, the evaluation of the presence or absence of calcification among readers was not consistent (confidence level of each reader: 4, 3, 3, 4 and 2, respectively). (right) In the soft tissue image, the nodule disappeared. All readers correctly evaluated it as calcified (confidence level of each reader: 1, 1, 2, 2 and 2, respectively).