Figure 2
From: CT imaging shows specific pancreatic abnormalities in persons with cystic fibrosis related diabetes

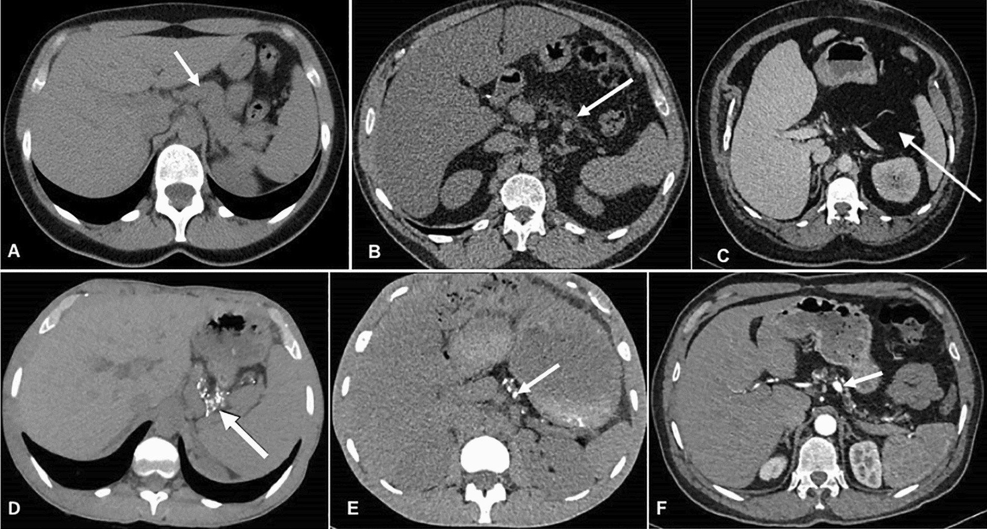
Computed tomography without contrast Top row: Different degrees of pancreas lipomatosis. (a) Normal pancreas (b) Partial lipomatosis of the pancreas. (c) Complete lipomatosis of the pancreas (white arrow shows the visually empty pancreatic area.) Bottom row (d–f): three examples of pancreatic calcifications (arrows). Of note, all images of bottom row show partial lipomatosis of the pancreas.