Figure 5

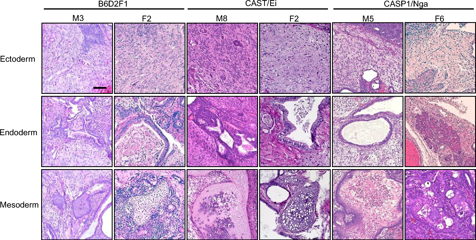
Teratoma formation assay of selected ntESC lines from each mouse strain. Differentiation into ectoderm (neural cell), endoderm (gland), and mesoderm (cartilage) was confirmed within teratoma tissues. Bar = 100 µm.

Teratoma formation assay of selected ntESC lines from each mouse strain. Differentiation into ectoderm (neural cell), endoderm (gland), and mesoderm (cartilage) was confirmed within teratoma tissues. Bar = 100 µm.