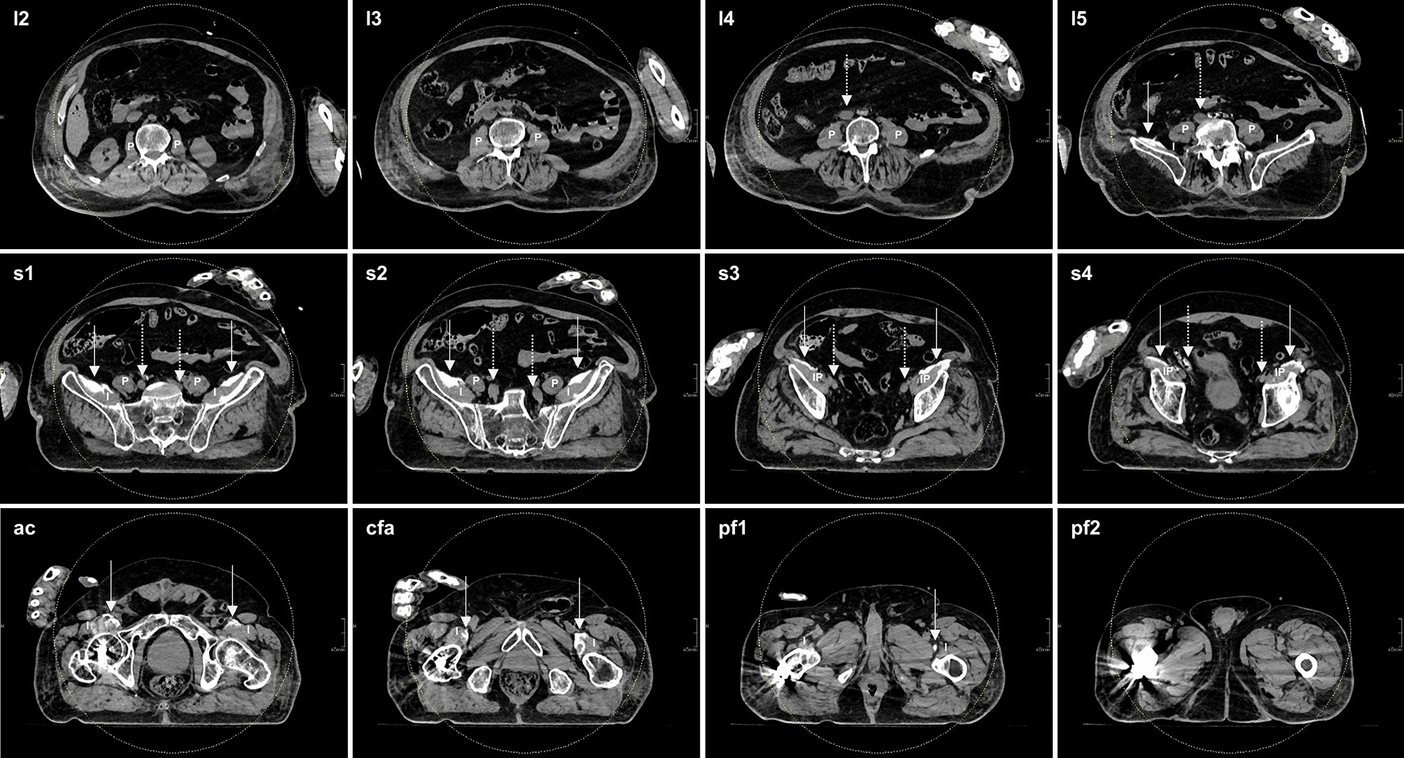
Figure 3

Axial CT slices detailing typical spread of injectate after (bilateral) S-FICB-H. The LA-based contrast mixture was determined to reach a maximum height corresponding to the fifth lumbar vertebra on the left side and the intervertebral disc of lumbar vertebrae four-five on the right side. Medial spread of contrast stayed anterior to the iliopsoas muscles and iliac arteries. As such, contrast remained removed of the location of the lumbar plexus and ON, both in the cranial and medial directions. Dotted arrows point to the iliac arteries, solid arrows point to the contrast. l lumbar vertebra, s sacral vertebra, ac acetabulum, cfa common femoral artery, pf proximal femur, P psoas muscle, I iliacus muscle, IP iliopsoas muscle.