Figure 6
From: Quantitative assessment of inner ear variation in elasmobranchs

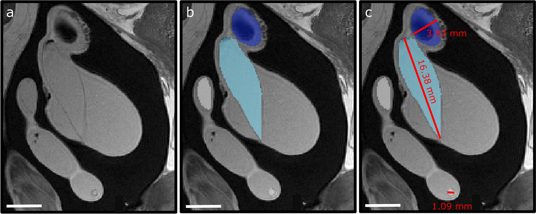
Linear measurement. An individual axial scan slice from the inner ear of a school shark (Galeorhinus galeus) showing (a) the original MR image, (b) the segmentation of inner ear structures, and (c) the linear measurement of the same inner ear structures. Dark blue = utricle; Light blue = saccule, Grey = semi-circular canals. Scale bar = 5 mm.