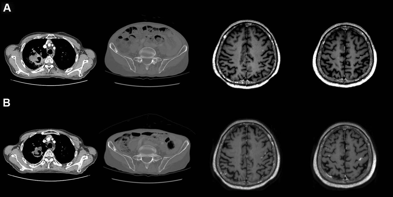
Figure 3

A typical case with brain metastases that showed disease progression after receiving only chemotherapy without whole-brain radiotherapy. Compared to the time of lung cancer diagnosis (A), the size of the primary tumor decreased and that of the metastatic lesion in the right iliac bone did not change after two cycles of platinum-based chemotherapy (B). However, the size of metastatic lesions in the brain increased and new metastatic lesions developed.