Figure 7

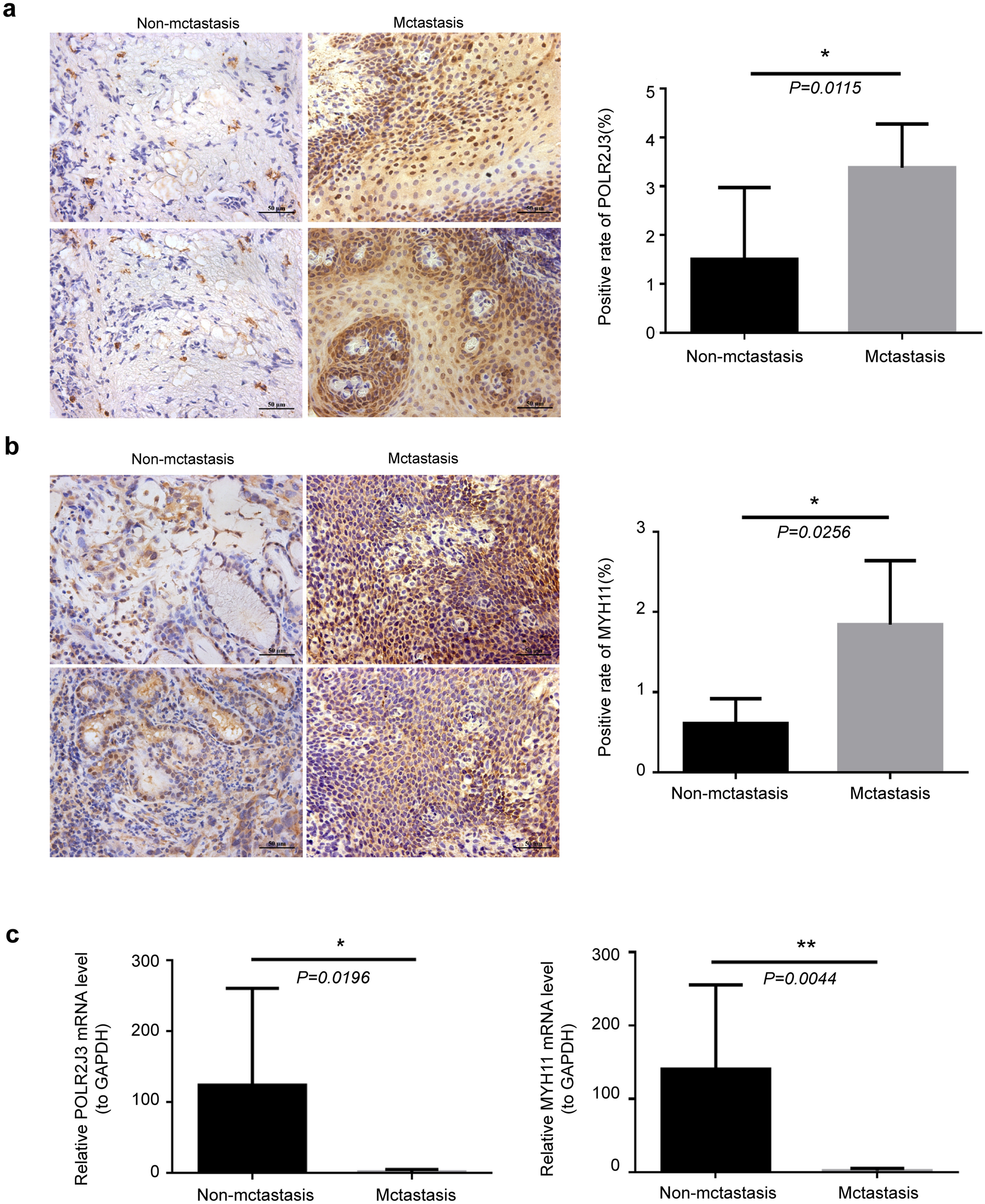
The expressions of POLR2J3 and MYH11 in metastatic and non-metastatic LSCC tissues. The mRNA and protein expression levels of POLR2J3 (a) and MYH11 (b) using IHC and RT-qPCR(c), respectively. *p < 0.05; **p < 0.01.

The expressions of POLR2J3 and MYH11 in metastatic and non-metastatic LSCC tissues. The mRNA and protein expression levels of POLR2J3 (a) and MYH11 (b) using IHC and RT-qPCR(c), respectively. *p < 0.05; **p < 0.01.