Figure 2
From: Ameliorative effects of camel milk and silymarin upon aflatoxin B1 induced hepatic injury in rats

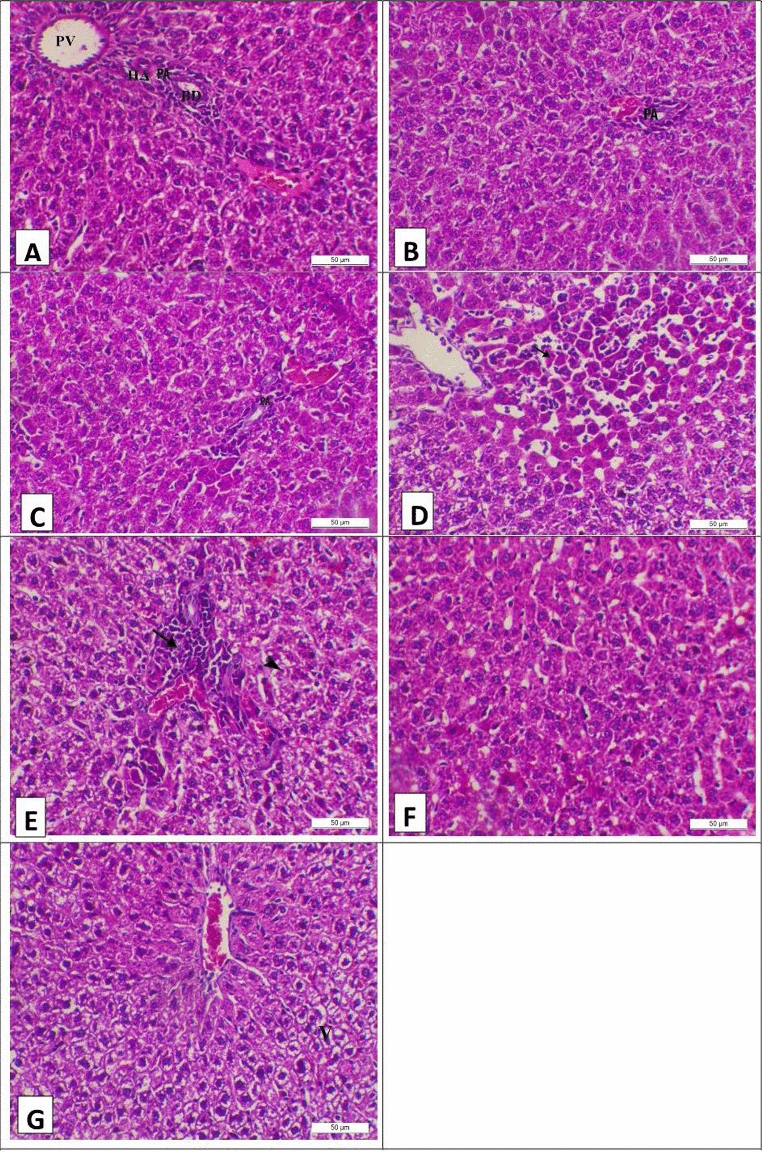
Photomicrograph of the liver of experimental groups at the 21th day of the experiment stained with H&E (X200, Scale bar = 50 µ) (A) control group showing normal hepatic histology featuring normal hepatocytes arranging in cords and normal portal area (PA) including portal vein (PV), hepatic artery (HA) and bile duct (BD). (B) Camel milk group showing normal hepatic histology featuring normal hepatocytes arranging in cords and normal portal area (PA). (C) Silymarin group showing normal hepatic histology featuring normal hepatocytes arranging in cords and normal portal area (PA). (D) Aflatoxin group showing coagulative necrosis of the centrilobular hepatocytes with mononuclear cells infiltration (arrow). (E) Aflatoxin group showing marked mononuclear cells infiltration (arrow) in the portal area with diffuse vacuolar degeneration of the midzonal hepatocytes (arrow head). (F) Aflatoxin and camel milk group showing normal hepatic histology. (G) Aflatoxin and Silymarin group showing vacuolar degeneration of the midzonal hepatocytes (V).