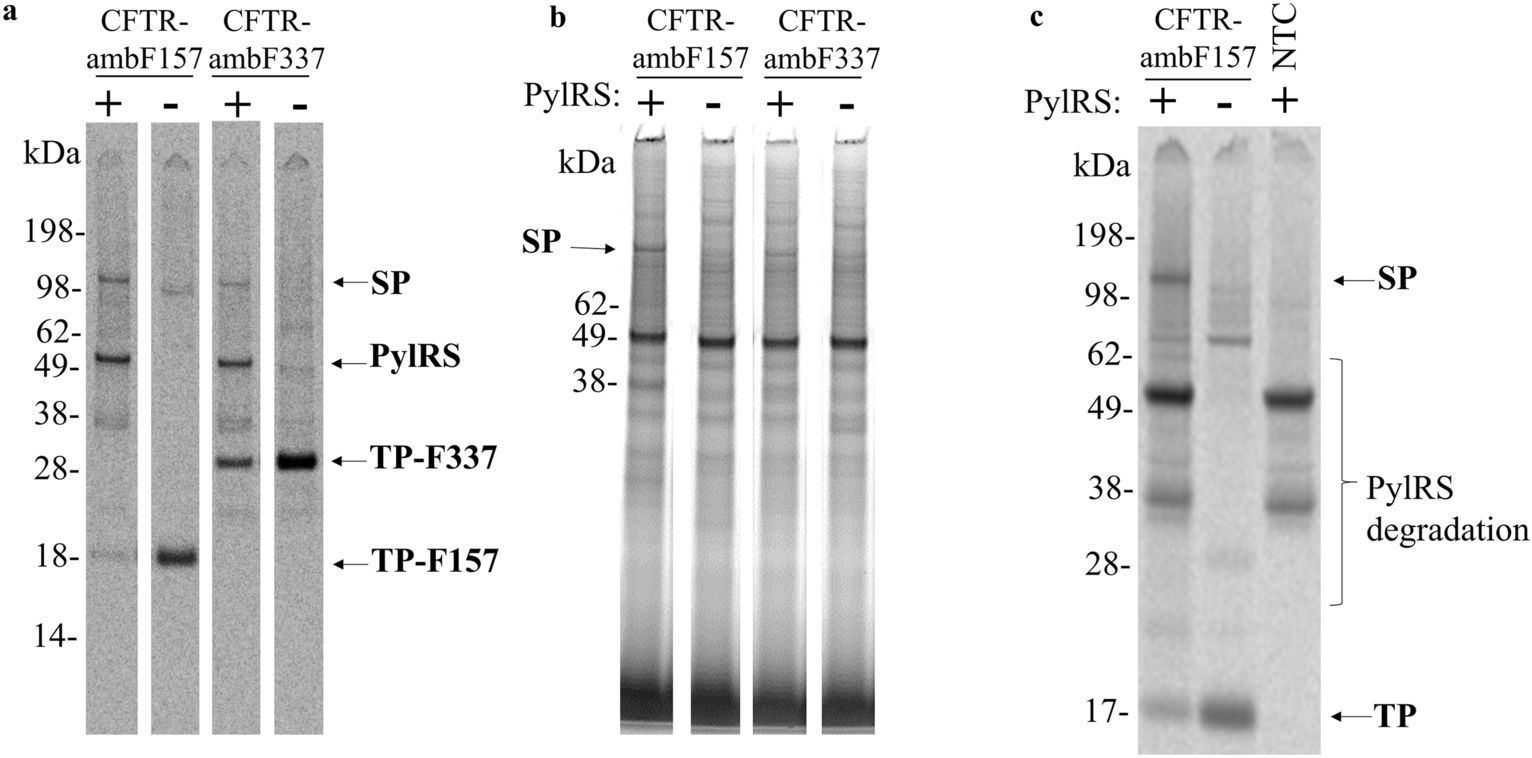
Figure 5

Site-specific incorporation of SCO into CFTR. The non-canonical amino acid SCO was incorporated into CFTR-ambF157 and –F337 during a Sf21 batch and CECF based cell-free reaction in the presence or absence of PylRS-AF. Afterwards the modified CFTR variants were coupled to a tetrazine Cy5 dye and visualized by excitation utilizing a 633 nm laser. (a) Autoradiography of a batch based Sf21 cell-free reaction showing the full length proteins in the presence of PylRS and the specific termination products in absence of PylRS. (b) In-gel fluorescence corresponding to the autoradiograph shown in (a), which shows a fluorescent band at the marked molecular weight (SP) only in the presence of the CFTR template harbouring an amber stop codon and in presence of PylRS. (c) Autoradiography of a CECF based Sf21 cell-free reaction showing the full length proteins in the presence of PylRS and the specific termination products in the absence of PylRS, as well as protein bands corresponding to PylRS degradation. SP: Suppression product. TP: Termination product. Uncropped autoradiography images are included in Supplementary information.