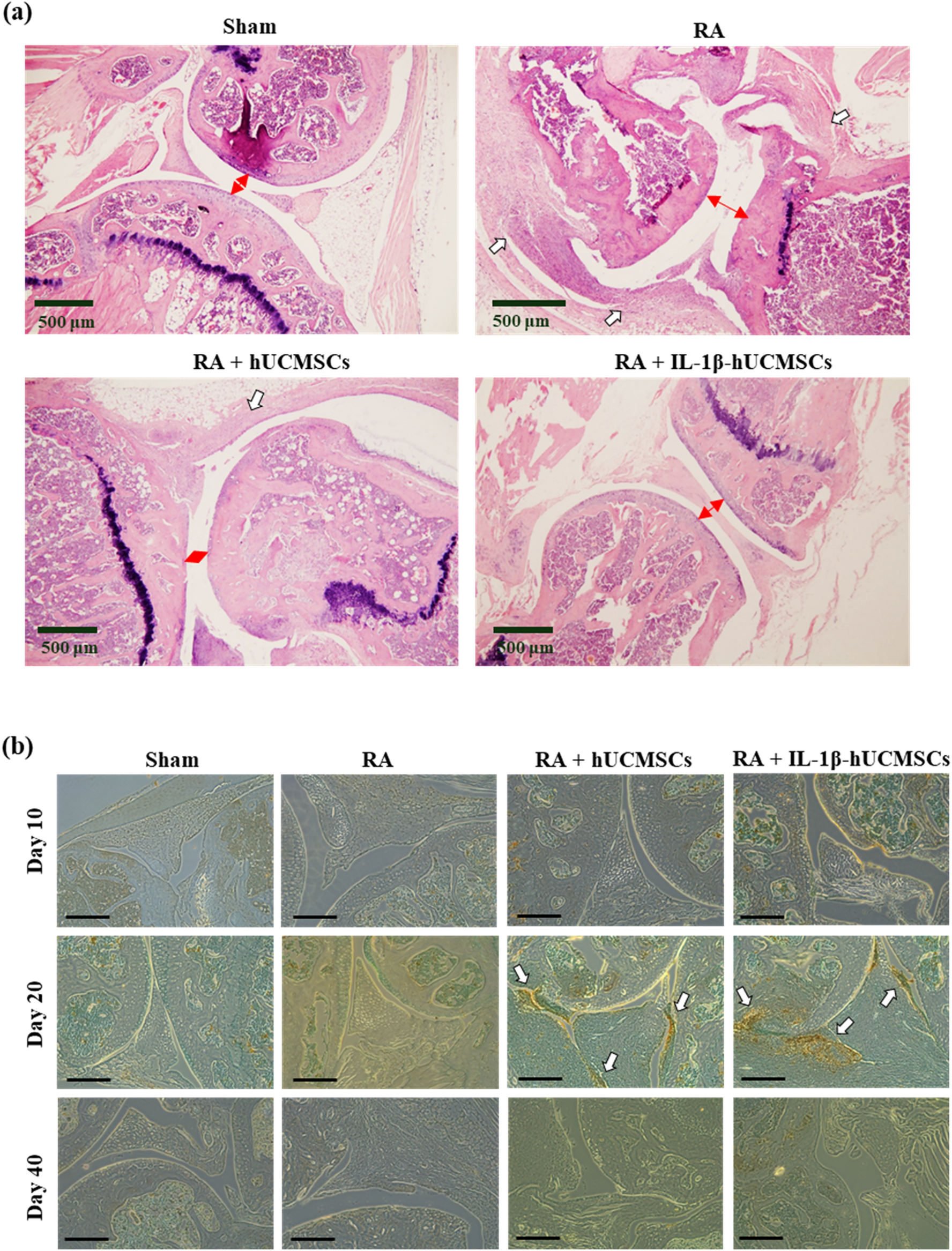
Figure 8

The therapeutic efficacy of hUCMSCs was evaluated by H&E stain and TUNEL assay in CIA Mouse Model. (a) CIA mice were sacrificed at day 40 after hUCMSCs administration. The joint tissues were collected and the pathology of synovial hyperplasia and bone destruction examined. Scale bar: 500 μm. White arrow head: synovial hyperplasia. Red arrow head: the distance of the joint cavity. (b) The apoptotic cells in the synovial joint tissue sections after administration of hUCMSCs and IL-1β stimulated hUCMSCs were examined by using TUNEL Assay Kit. Arrow: the staining of apoptotic cells region. Scale bar: 250 μm.