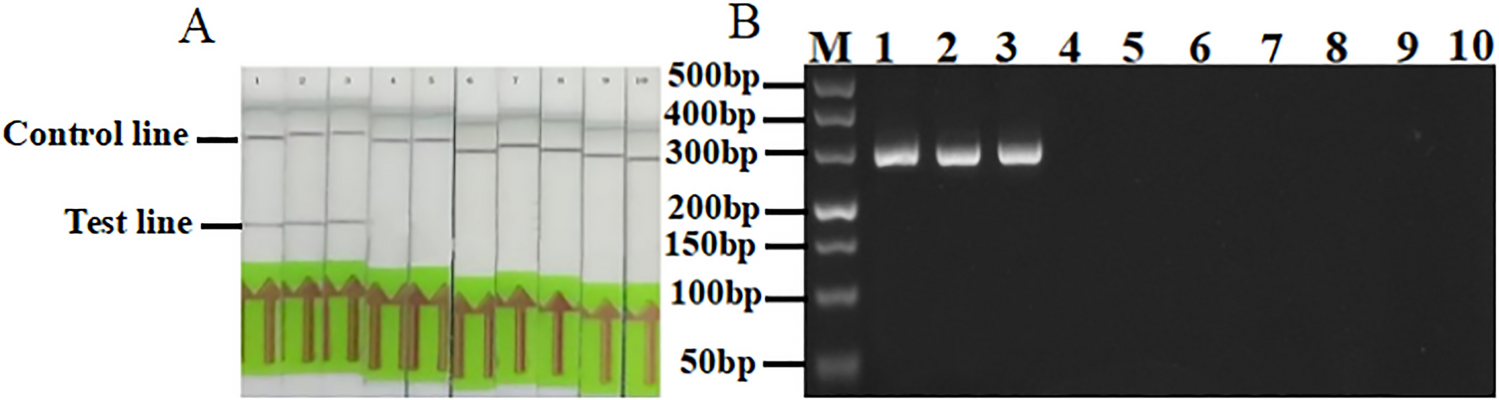
Figure 2

Specific detection of Puccinia striiformis f. sp. tritici by RPA (A) and conventional PCR (B). 1. CYR32, 2. CYR33, 3. CYR34, 4. Puccinia graminis, 5. Puccinia recondita, 6. Blumeria graminis, 7. Puccinia striiformis West. f. sp. hordei, 8. Puccinia recondita. f. sp. agropyri, 9. wheat leaf gDNA, 10. ddH2O, M: marker-500.