Figure 3
From: Construction of IgG–Fab2 bispecific antibody via intein-mediated protein trans-splicing reaction

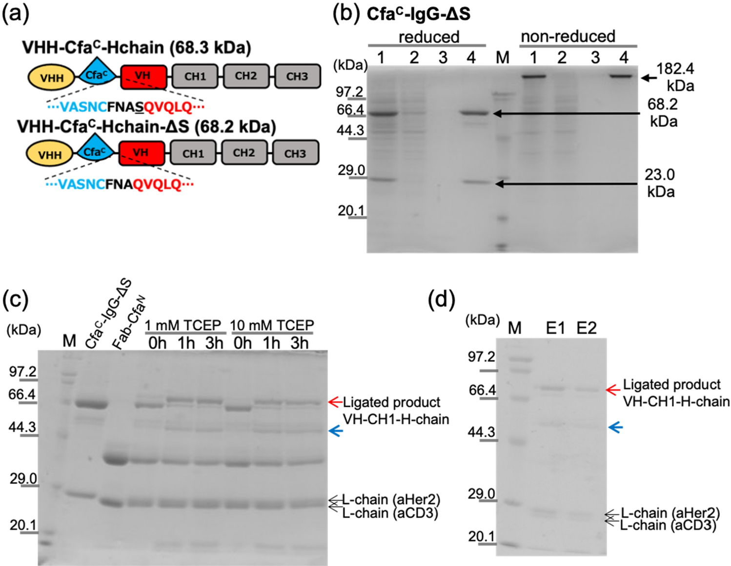
Expression, purification, and ligation of CfaC-IgG-ΔS. (a) Domain order of heavy chain of VHH-CfaC-Hchain and VHH-CfaC-Hchain-ΔS. Amino acid sequence between CfaC and VH are shown. (b) Reduced and non-reduced SDS-PAGE for purification of CfaC-IgG-ΔS using Ni–NTA column. 1: pre-column, 2: flowthrough, 3: wash, 4: elute. M: molecular-weight maker. (c) SDS-PAGE result for the PTS reactions between CfaC-IgG-ΔS and Fab-CfaN. (d) SDS-PAGE result of the elution fraction (E1 and E2) of anion exchange column. The reaction mixture of the PTS reaction between CfaC-IgG-ΔS and Fab-CfaN was applied to the column. E1 and E2: Elution fractions, M: molecular-weight maker. Red arrows indicate bands for the ligated product (VH-CH1-H-chain). Blue arrows indicate heavy chain generated by the uncontrolled cleavage at the C-terminal side of CfaC.