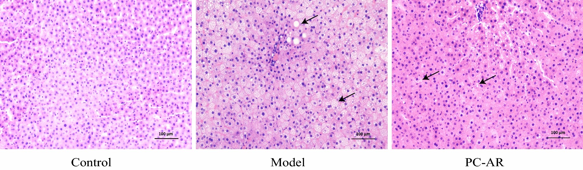
Figure 3

HE staining of liver tissues of rats in each group. The liver histology of rats in the different groups was compared to demonstrate the efficacy of PC–AR against HLP (200\(\times\) magnification). The 4.54g/kg PC–AR group was selected as the PC–AR administration group. Compared with that in the control group, the degree of liver damage and hepatic steatosis was aggravated in the model group. In the PC–AR group, the pathological characteristics of the in liver cells were greatly alleviated, and a normal histology was recovered, compared to the model group. H&E, hematoxylin and eosin. Black arrows indicate the cytoplasmic vacuolation.