Figure 5

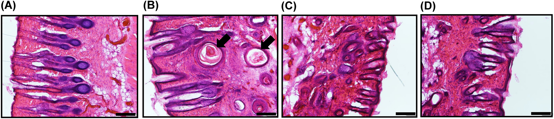
HE staining of the skin of WT (A), noninfected Vdr-KO (B), VDR-AdV-1–1 (C), and VDR-AdV-1–2 (D) rats in supplemental Fig. 2 on 10 days after VDR-AdV injection. The arrows in (B) show cyst formation. Scale bar; 200 µm.

HE staining of the skin of WT (A), noninfected Vdr-KO (B), VDR-AdV-1–1 (C), and VDR-AdV-1–2 (D) rats in supplemental Fig. 2 on 10 days after VDR-AdV injection. The arrows in (B) show cyst formation. Scale bar; 200 µm.