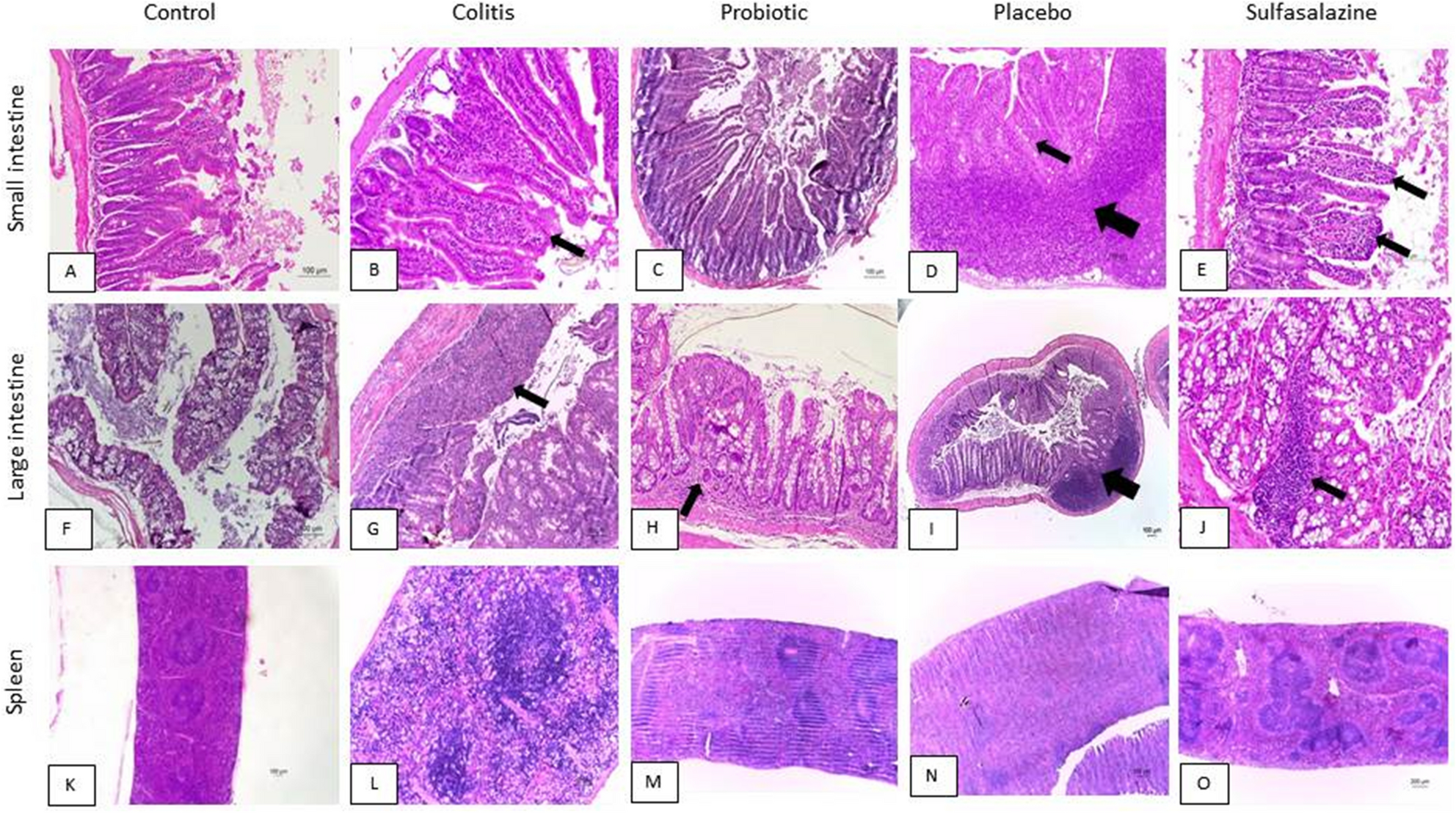
Figure 3

Attenuation of inflammation by probiotic orange juice treatment in histopathological analysis in DSS-induced colitis with 5 days of treatment. Photo microscopy of the small intestine: (A) Normal mucosa (group C animal). (B) Moderate inflammation (arrow) (animal in the CL group). (C) Normal mucosa (animal in the CLPR group). (D) Lymphoid hyperplasia (wide arrow), and moderate inflammation (thin arrow) (animal in the CLP group). (E) Mild inflammation (arrows) (animal in the CLS group). Hematoxylin–eosin, 100 × magnification. Large intestine: (F) Normal mucosa (group C animal) (Hematoxylin–eosin, 100 × magnification). (G) Ulcerated area of the mucosa (arrow) and transmural inflammation (animal in the CL group) (Hematoxylin–eosin, 100 × magnification). (H) Mild inflammation of the mucosa (arrow) (animal in the CLPR group) (Hematoxylin–eosin, 100 × magnification). Spleen: (I) Lymphoid hyperplasia (arrow) (animal in the CLP group) (Hematoxylin–eosin, 40 × magnification). (J) Mild inflammation of the mucosa (arrow) (animal in the CLS group) (Hematoxylin–eosin, 100 × magnification). (K) Normal splenic parenchyma (group C animal) (Hematoxylin–eosin, 40 × magnification). (L) Exuberant white pulp hyperplasia with a “starry sky” aspect (animal in the CL group) (Hematoxylin–eosin, 100 × magnification). (M) White pulp hyperplasia (animal in the CLPR group) (Hematoxylin–eosin, 40 × magnification). (N) White pulp hyperplasia (CLP group animal) (Hematoxylin–eosin, 40 × magnification). (O) White pulp hyperplasia (CLS group animal) (Hematoxylin–eosin, 40 × magnification).