Figure 6

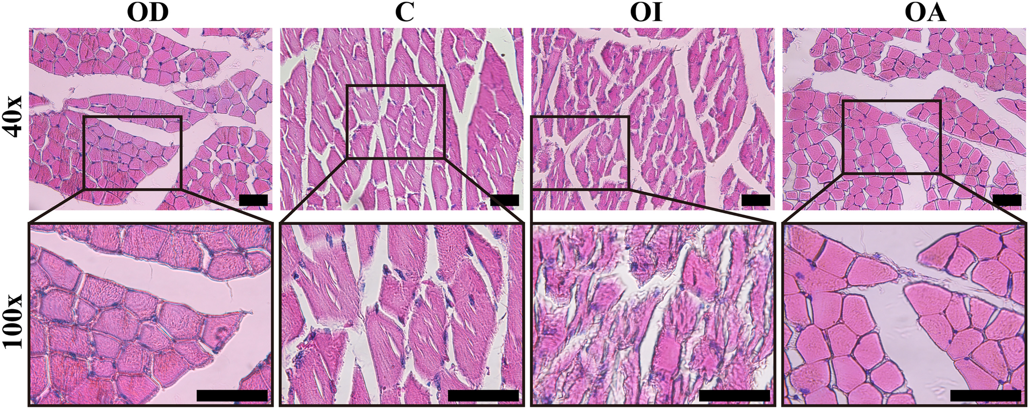
The influence of different occlusal patterns on the masseter tissues, HE-stained in 40× and 100× magnification.Scale bar = 50 μm.

The influence of different occlusal patterns on the masseter tissues, HE-stained in 40× and 100× magnification.Scale bar = 50 μm.