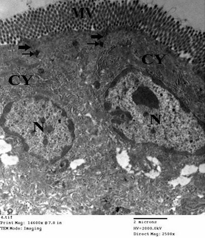
Figure 8

Electron micrograph of an ultrathin section in the small intestine of drug granules prepared on using 15% span 60 (Mic. Mag × 2500).

Electron micrograph of an ultrathin section in the small intestine of drug granules prepared on using 15% span 60 (Mic. Mag × 2500).