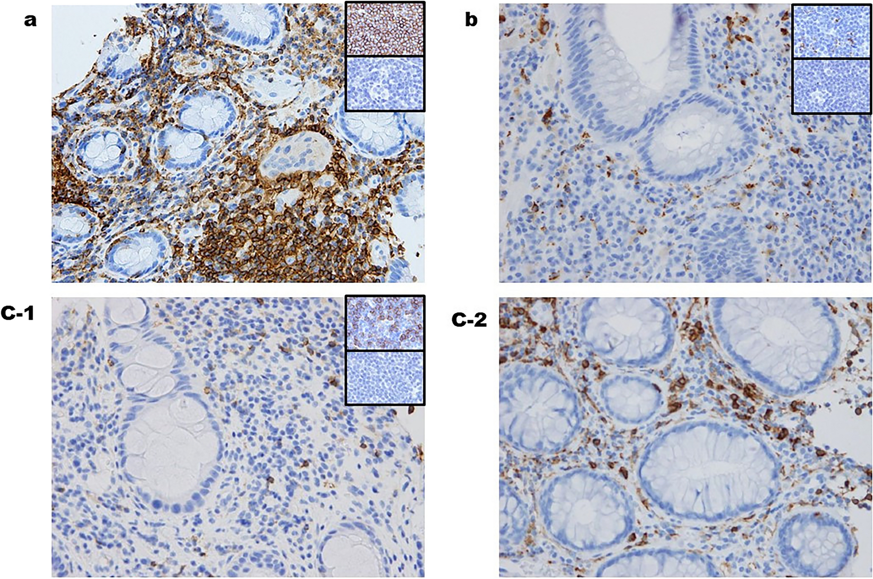
Figure 2

Representative images of immunohistochemical staining for CD45 (a), CD68 (b), and CD4 (c-1 shows a case of mild CD4 infiltration and c-2 shows a case of severe CD4 infiltration) with positive (upper right, top) and negative (upper right, bottom) staining controls.