Figure 3
From: A human bispecific antibody neutralizes botulinum neurotoxin serotype A

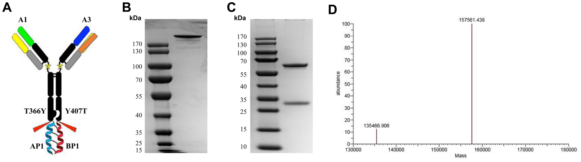
Structure, molecular mass, and purity of LUZ-A1-A3. (A) Schematic diagram of the structure of LUZ-A1-A3. (B) Electrophoresis of purified LUZ-A1-A3 under non-reducing SDS-PAGE conditions. (C) Electrophoresis of purified LUZ-A1-A3 under reducing SDS-PAGE conditions. (D) Mass spectrometry results for LUZ-A1-A3. LUZ-A1-A3, bispecific antibody; SDS-PAGE, sodium dodecyl sulfate polyacrylamide gel electrophoresis.