Figure 5
From: A human bispecific antibody neutralizes botulinum neurotoxin serotype A

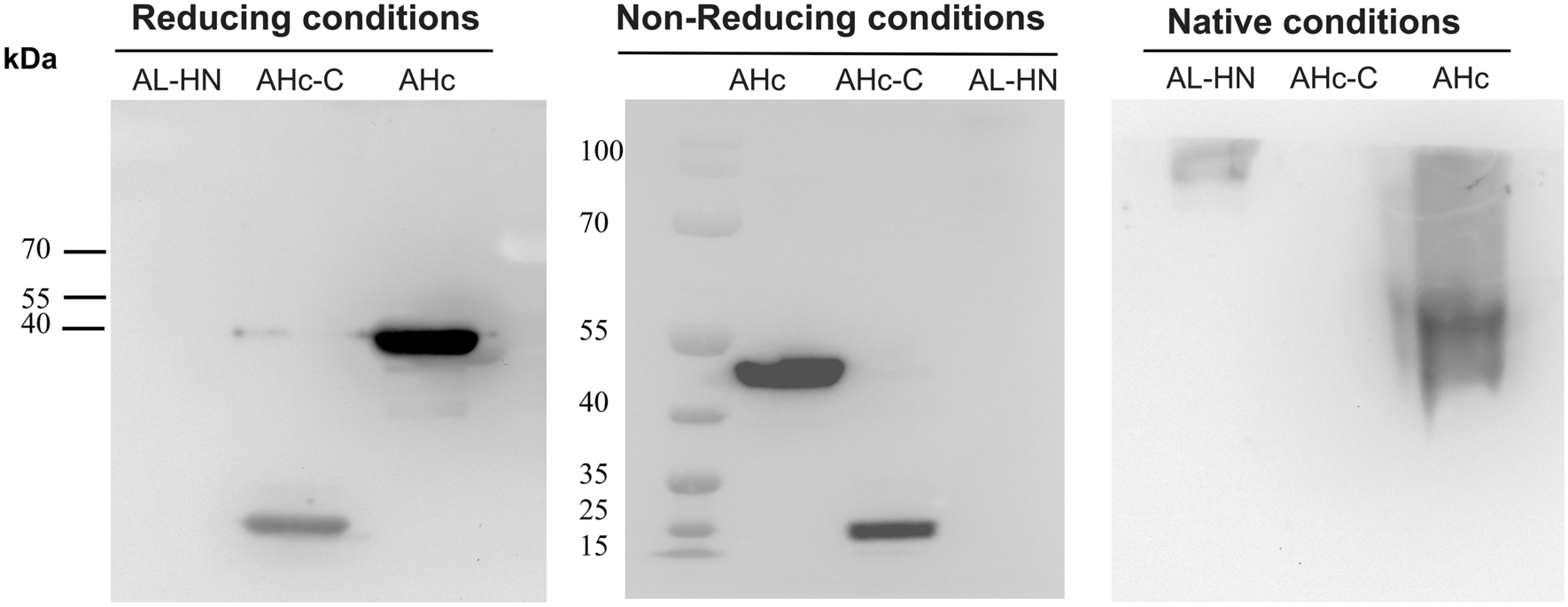
Western blotting results for the binding between LUZ-A1-A3 and the fragments of BoNT/A. The recombinant proteins (AHc, AHc-C, AL-HN domain of BoNT/A) used in the western blotting were expressed by E. coli and these proteins were separated using SDS-PAGE under non-reducing conditions and reducing conditions or Native-PAGE under native conditions. LUZ-A1-A3 (final concentration as 1 μg/mL) and anti-human IgG antibody conjugated with horseradish peroxidase (1:5000, v/v) were used in western blot analysis. No Marker could be used for Native-PAGE under native conditions.