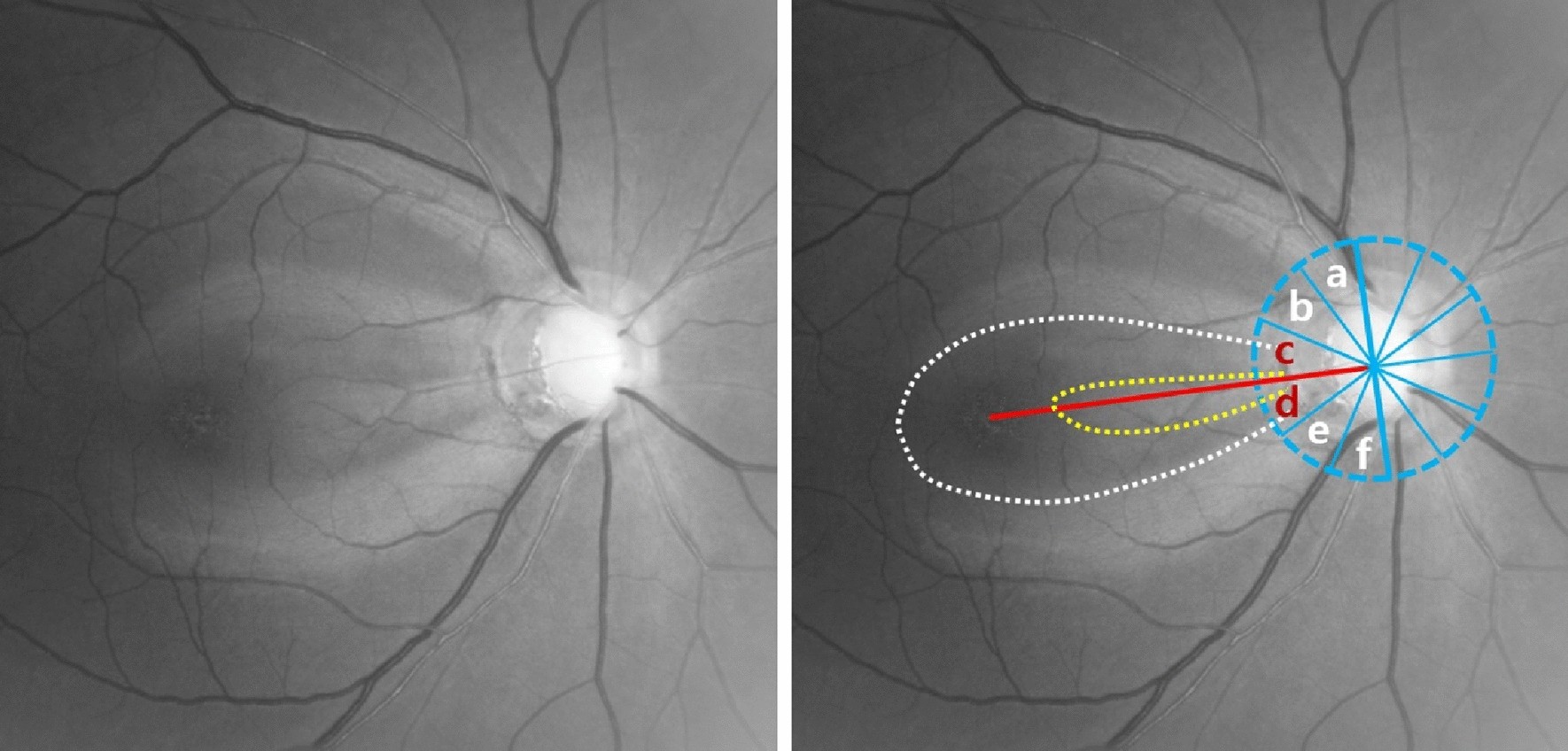
Figure 3

Definition of papillomacular bundle defect (PMBD). The red line is a straight line from the center of the optic disc to the foveal center and is termed the “reference line.” If a line (a blue solid line) is drawn running perpendicular to the reference line and passing through the center of the optic disc, and a circular line (a blue dotted line) is centered on the optic nerve head (ONH) to include the reference line and vertical line, the hemisphere can be divided into six equal sectors (a–f sections). Among the six sectors, the central upper and lower ones, surrounding the reference line (c + d section) from − 30 to + 30°, were defined as the papillomacular bundle (PMB) area. PMBD was declared in cases where the proximal border (yellow dotted line) of the retinal nerve fiber layer defect was located within the PMB area.