Figure 5
From: COVID-19 infection analysis framework using novel boosted CNNs and radiological images

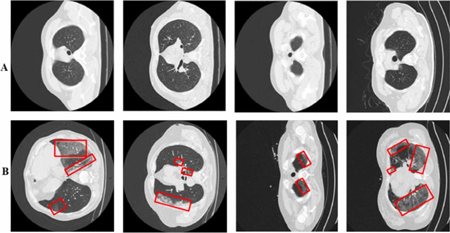
Panels (A,B) represent COVID-19 infected vs. Healthy samples. While the infected regions are red highlighted.
From: COVID-19 infection analysis framework using novel boosted CNNs and radiological images

Panels (A,B) represent COVID-19 infected vs. Healthy samples. While the infected regions are red highlighted.