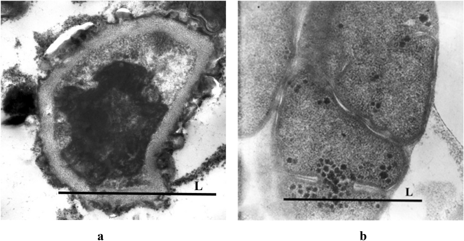
Figure 3
From: Survival of microorganisms during two-year exposure in outer space near the ISS

SEM images of M. mazei S-6T cells: (a) ultra of Methanosarcina cell from the isolate obtained after the 24-mos exposure; (b) ultrafine of Methanosarcina cell control. Scale – L = 1.0 micron.