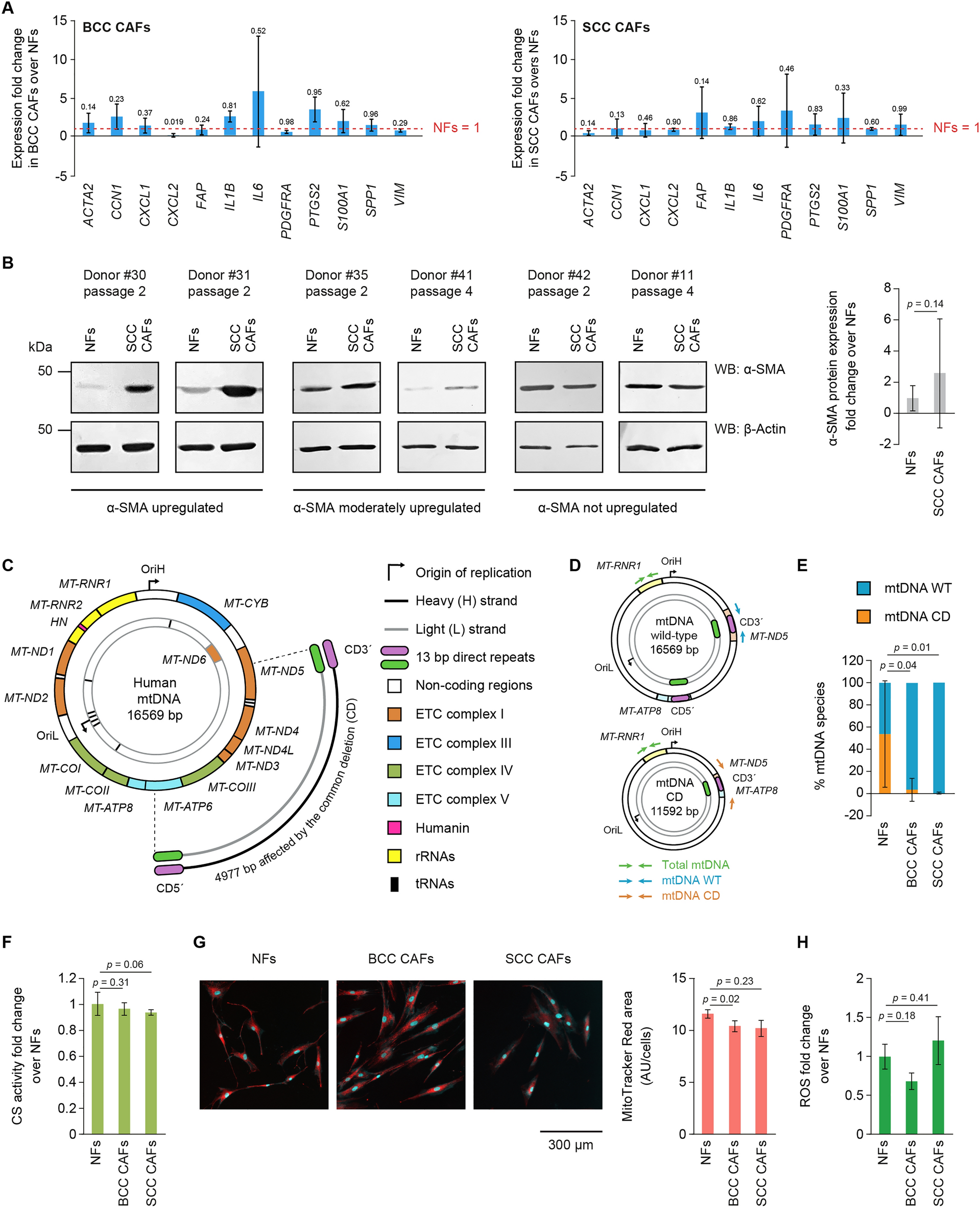
Figure 1

BCC and SCC CAFs harbor decreased levels of the mtDNA CD as compared to NFs. (A) Evaluating expression of conventional CAF biomarkers in BCC CAFs (left) and SCC CAFs (right) by qPCR. The expression levels of the indicated genes were expressed as fold change as compared to NFs. n = 3 biological replicates, statistical analyses: unpaired Wilcoxon t test for BCC CAFs, paired Mann–Whitney t test for SCC CAFs. (B)WBs for the expression of α-SMA in NFs and SCC CAFs from the same donors. Left: representative WBs from donor-matched NFs and SCC CAFs at low passages (P2 and P4). Right: quantitation of α-SMA levels from n = 15 NFs and SCC CAFs pairs. The expression of α-SMA in SCC CAFs is expressed as fold change as compared to NFs, variability is depicted as SD, statistical analysis: paired t test. (C) Human mtDNA, containing genes encoding proteins of the electron transport chain (ETC), Humanin, rRNAs and tRNAs. The ~ 5 kb region affected by the common deletion (CD) is flanked by two 13 bp direct repeats. (D) Schematic representations of WT and CD mtDNA molecules showing localization of the primers for the analysis of total., WT and CD mtDNA copies within the mitochondrial genome. (E) qPCR for the relative quantification of mtDNA WT and CD in NFs, BCC CAFs and SCC CAFs. n = 6 biological replicates. (F) Citrate synthase (CS) activity in NFs, BCC CAFs and SCC CAFs. The CS activity in BCC and SCC CAFs is expressed as fold change as compared to NFs. n = 3 biological replicates. (G) Left: representative microscopic images of NFs, BCC and SCC CAFs stained with Mitotracker Red for membrane polarization and DAPI for nuclei identification. Right: quantification of total mitochondrial area normalized for cell count. AU arbitrary units. n = 3 biological replicates. (H) Measurement of ROS in NFs, BCC CAFs and SCC CAFs by DCF assay. n = 3 biological replicates. For panels (E–H) statistical analysis was Kruskal–Wallis test with Dunn’s post hoc test comparing to NFs.