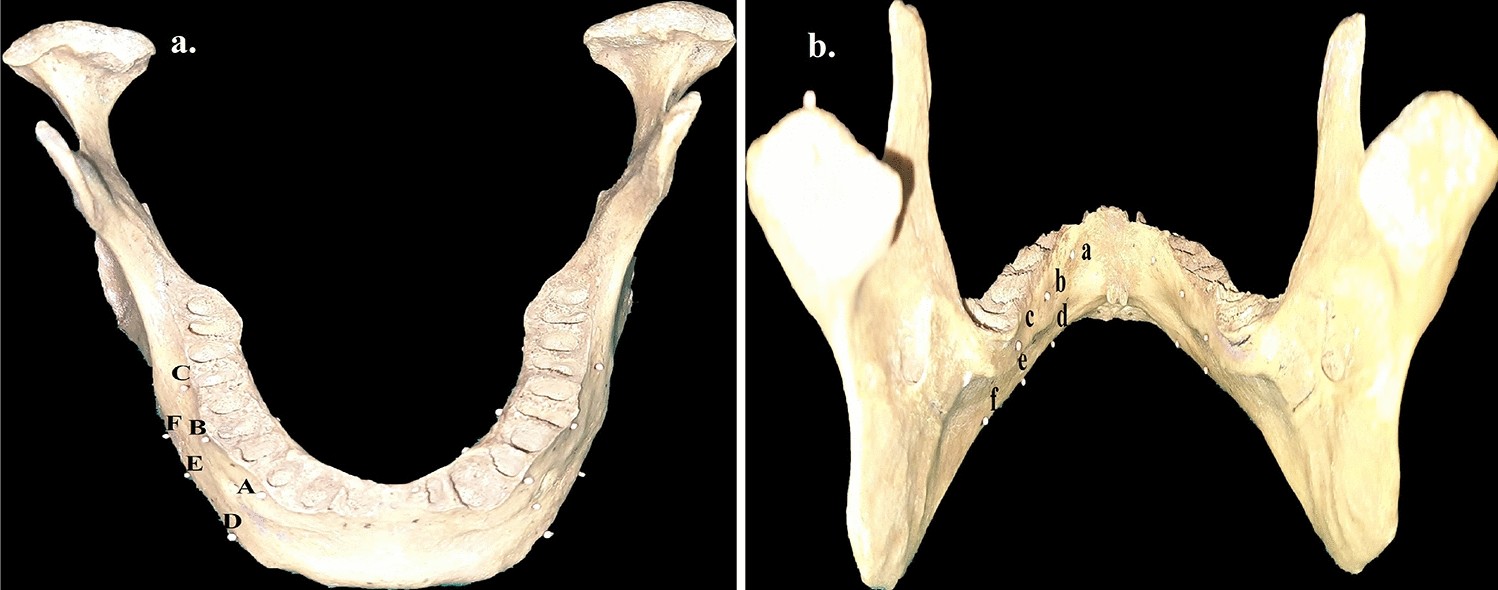
Figure 2

Reference points for accuracy measurement. (a) Buccal reference points for accuracy measurement at the crest of the mandible (A, B, C) and the base of the mandible (D, E, F). (b) Lingual reference points for accuracy measurement at the crest of the mandible (a, b, c) and the base of the mandible (d, e, f).