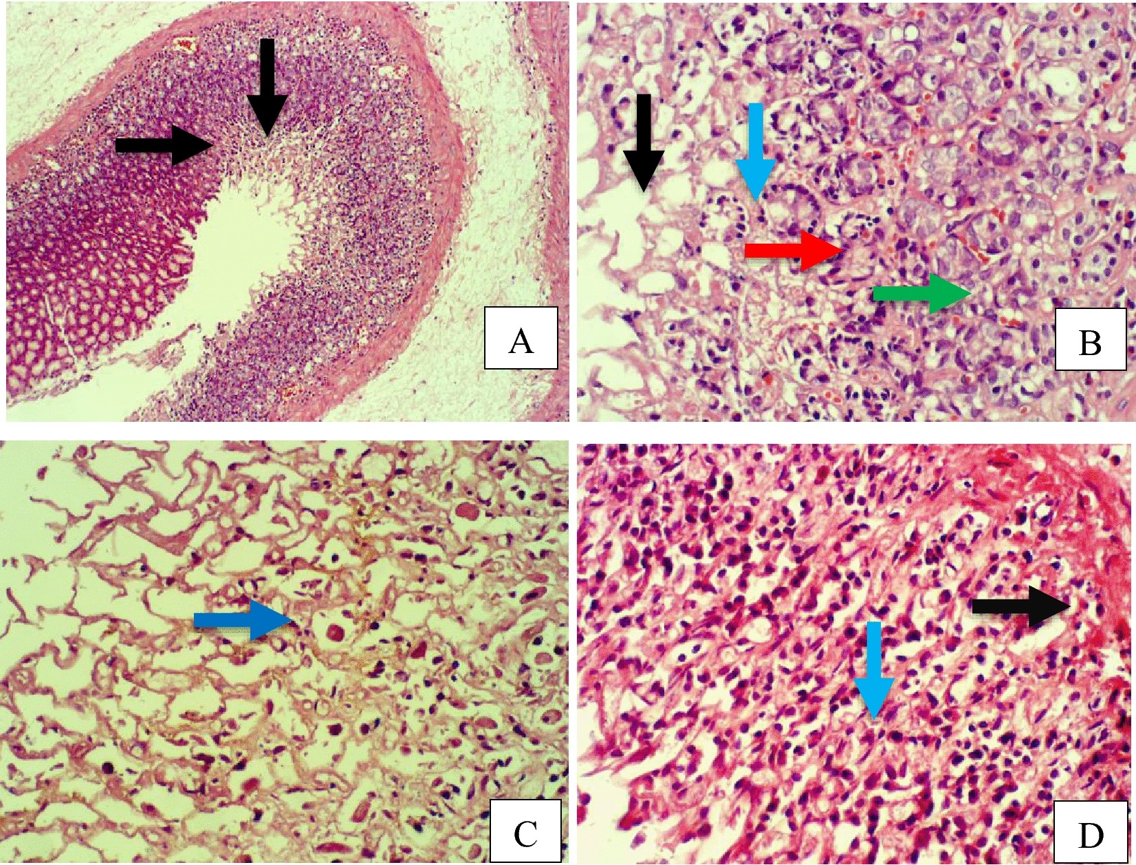
Figure 6

A&B: Stomach, compound 2 treated group, (A) Showed erosions at mucosa layer (black arrow). H&E 100x. (B) Showed erosions in gastric pit (black arrow), coagulative necrosis in gastric gland (blue arrow), infiltration of inflammatory cells (red arrow), vacuolar degeneration in chief cells (green arrow). H&E 400x. E&F: Stomach, compound 3 treated group, (C) Showed coagulative necrosis in the tips of gastric mucosa (black arrow), with slough and desquamation as cellular debris (blue arrow) H&E 400x. (D) Showed erosions in gastric mucosa (black arrow), coagulative necrosis in gastric gland (blue arrow), and vacuolar infiltration (red arrow) H&E 400x.