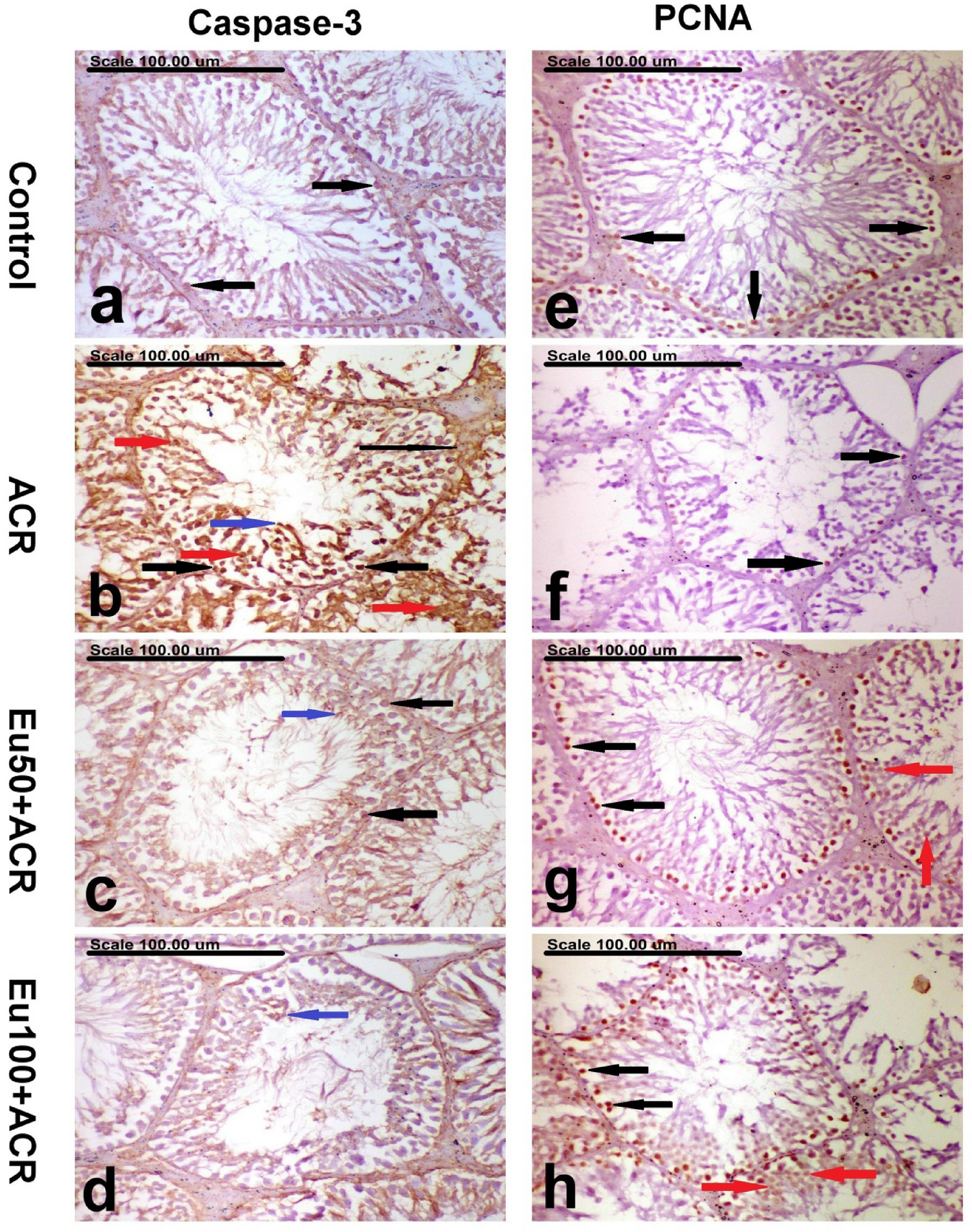
Figure 7

Photomicrograph showing immunohistochemically stained testes of (a,e) the control group showing sporadic caspase-3-positively stained spermatogonial cells (black arrows) (a) and increased PCNA-positively stained spermatogonial cells (black arrows) (e), (b,f) ACR group showing a significant increase in the percentage of caspase-3-positive cells with strong brown perinuclear and/or nuclear staining in the spermatogonium (thick black arrow), spermatocytes (red arrows), spermatids (blue arrow), and leydig cell (thin black arrow), (b) and a significant decrease in PCNA-positively stained spermatogonial cells (black arrows) cells (f), (c,g) Eu50 + ACR group showing a significantly decreased percentage of caspase-3-positively stained spermatogonial cells (black arrows) and elongating spermatid (blue arrow) (c) and a significant increase of PCNA-positively stained spermatogonial cells (black arrows) and spermatocytes (red arrows) (g), (d,h) Eu100 + ACR group showing sparse caspase-3-positively stained spermatid (blue arrow) (d) and a significant increase of PCNA-positively stained spermatogonial cells (black arrows) and spermatocytes (red arrows) (h). (Stain: anti-Caspase-3 (a–d) and anti-PCNA (e–h), scale bar = 100µm).