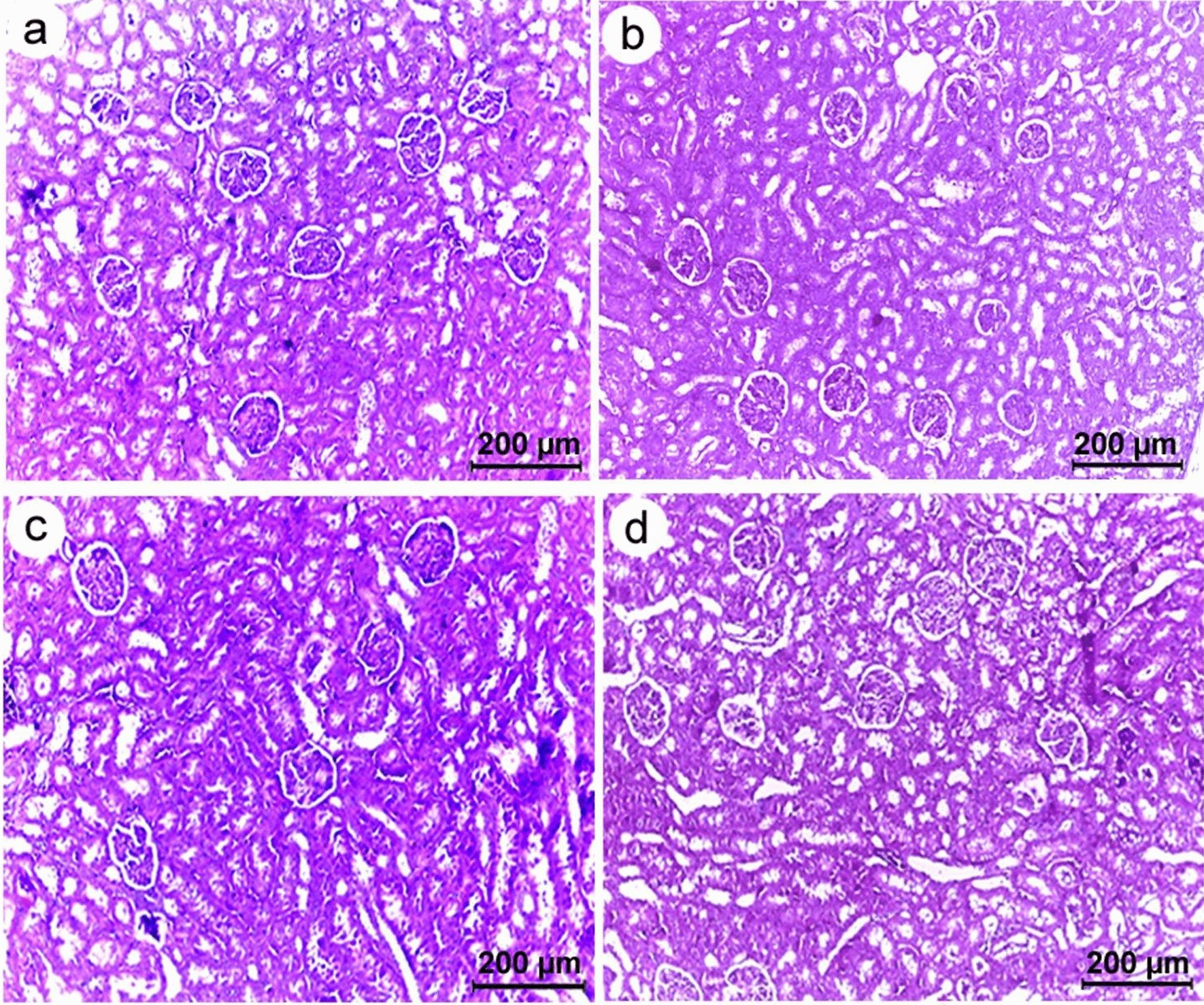
Figure 11

Photomicrographs of kidney sections of Wistar rat. (a) Control (b) chitosan (non-infected) group (c) infected group (d) chitosan-treated group, all showing regular renal architecture with typical appearance of glomerulus and convoluted tubules.