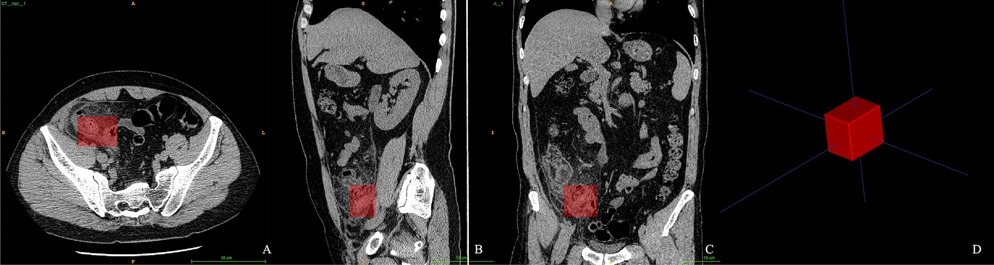
Figure 2

Region of interest of the models. A rectangle-shaped ROI was annotated, covering the areas of the end of the cecum and appendix. The ROI is shown in axial (A), sagittal (B), and coronal (C) planes and viewed three dimensionally (D).

Region of interest of the models. A rectangle-shaped ROI was annotated, covering the areas of the end of the cecum and appendix. The ROI is shown in axial (A), sagittal (B), and coronal (C) planes and viewed three dimensionally (D).