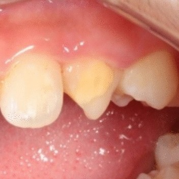
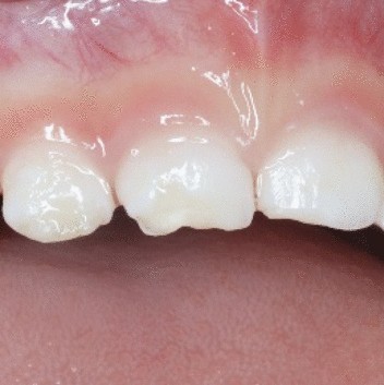
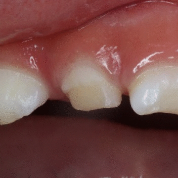
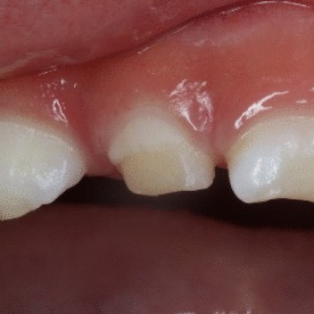
Table 4 Classification of developmental defects of enamel using the preterm developmental defects of enamel (PDDE) index.
Characteristics | Example | PDDE score |
|---|---|---|
Qualitative defects: Opacities with abnormal color shades | M score | |
Normal color and opacity | 0 | |
White opacity defect | 1 | |
Yellow defect | 2 | |
Yellow–brown defect | 3 | |
Quantitative defects: Structural defect associated with enamel hypoplasia | P score | |
Normal tooth morphology | 0 | |
Dental structural defects confined to enamel | 1 | |
Dental structural defects that affect both enamel and dentin | 2 | |




