Figure 2
From: Clinical and molecular study of radiation-induced gliomas

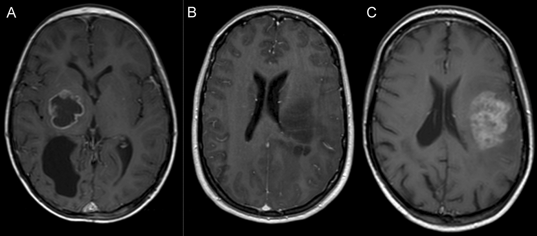
Radiological characteristics of RIG. Examples of radiological subgroups of RIG according to the character of contrast enhancement: (A) arcuate pattern enhancement—RIG2, (B) no enhancement—RIG6, (C) diffuse enhancement—RIG11.