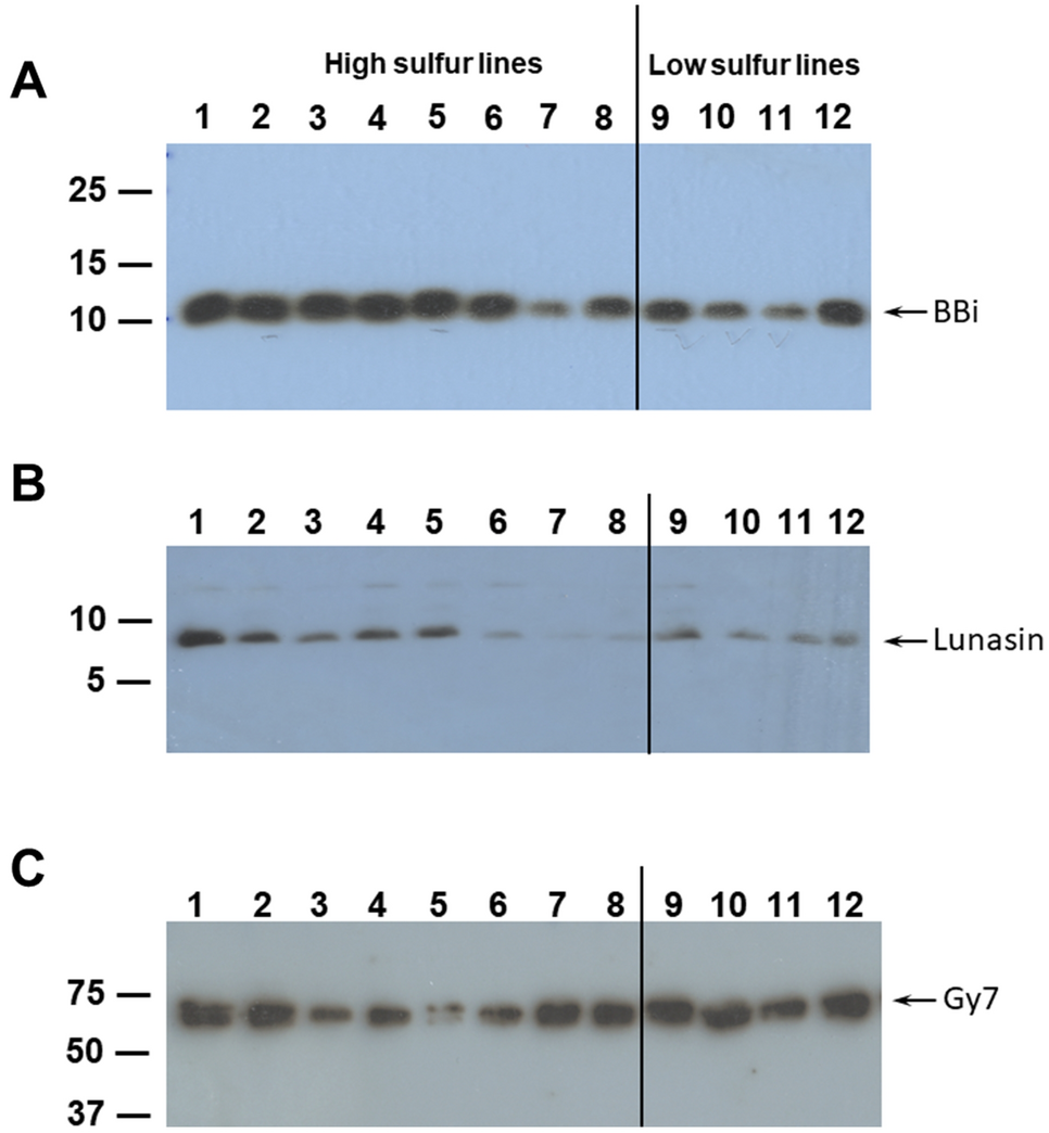
Figure 3

Immunological detection of Bowman-Birk protease inhibitor, lunasin and glycinin in soybean seeds. Total seed proteins (50 µg) resolved by 15% SDS-PAGE were transferred to nitrocellulose membrane and incubated with affinity purified soybean Bowman-Birk protease inhibitor antibody (Panel A) or lunasin (Panel B) or glycinin Gy7 (Panel C). Immunoreactive proteins were visualized by using antirabbit IgG horseradish peroxidase conjugate antibody followed by chemiluminescent detection. The exposure time was 30, 120, and 20 s for Bowman-Birk protease inhibitor, lunasin, and glycinin Gy7 detection, respectively. Complete uncropped digital images used for creating (A), (B), and (C) are included in the supplemental file. Lane 1, PI603162; lane 2, PI603910B; lane 3, PI549045A; lane 4, PI437377; lane 5, PI468919; lane 6, PI082278; lane 7, PI339734; lane 8, PI424078; lane 9, PI096322; lane 10, PI229327; lane 11, PI507411; lane 12, PI603599A. The position and sizes of protein markers in kilodaltons are shown at the left of the figure.