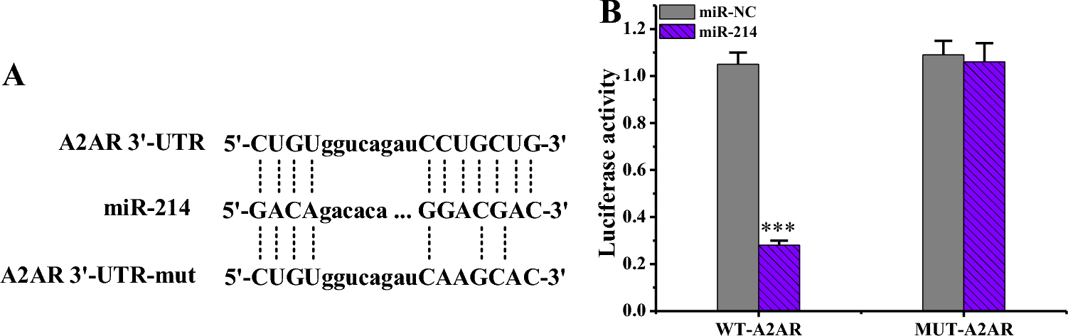
Figure 10

Analysis of targeting relationship between miR-214 and A2AR (n = 3). (***P < 0.001 vs. cells transfected with miR-NC and WT-A2AR). (A: targeting nucleotide sequence between miR-214 and A2AR; B: comparison of luciferase activities among various groups).