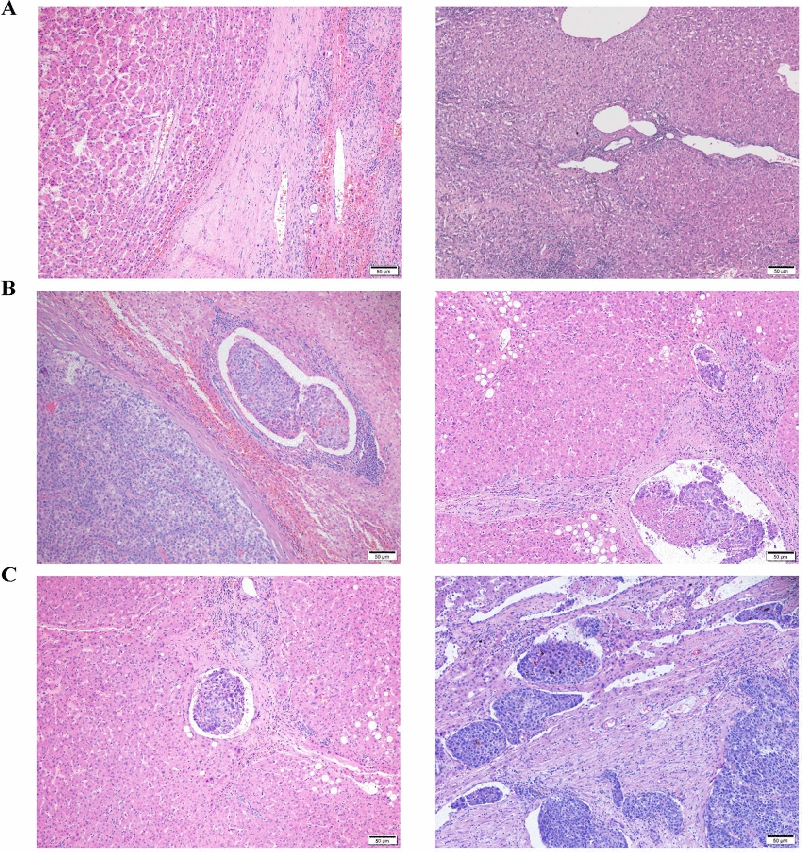
Figure 1

The grade of MVI Standard for Diagnosis and Treatment of Primary Liver Cancer. (a) M0: no MVI; (b) M1: the number of MVI is < 5 and at a distance of ≤ 1 cm from the tumor; (c) M2: the number of MVI is > 5 or at a distance of > 1 cm from the tumor.