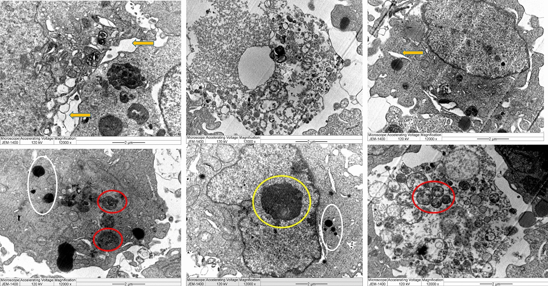
Figure 13

TEM analysis for the human cancer cell lines (MDA MB 23) treated with P-AgNPs at varied magnification displaying ultrastructural alteration displaying over whole cell shrinkage, chromatin condensation (yellow circle) beside peroxisomes (white square), damaged mitochondria (red circle), large vacuoles (yellow arrow) and peroxisome (white circle). Damaged cancerous cells are observed.