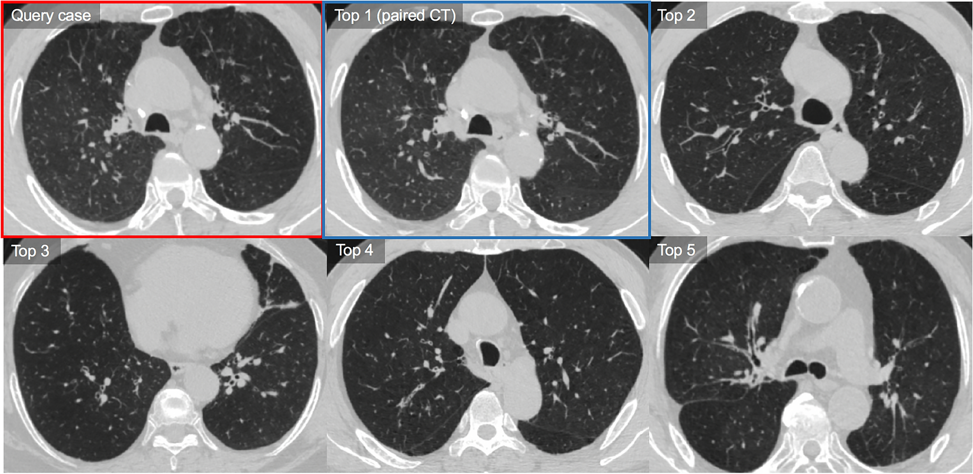
Figure 5

Representative case of the use of the content-based image retrieval (CBIR) system for chronic obstructive pulmonary disease. The query CT shows diffuse bronchial wall thickening in both lungs with multifocal mosaic parenchymal attenuation (Pi10 = 7.1, PVV = 0.55, LAA = 2.9 and D-slope = 3.9). CBIR system retrieves five similar CTs based on the measured similarity in descending order. The query case is outlined with a red box and its paired case (a pair of baseline CT without interval change compared with the query case [follow-up CT]) among the retrievals is outlined with a blue box. Our CBIR system retrieved the baseline pair of query CTs from the database as the top 1 retrieval. CT images of top 2 to top 5 retrievals also show quite similar CT features showing bronchial wall thickening with or without endobronchial mucus plugging and mosaic parenchymal attenuation. No retrieval CT cases demonstrates more than moderate extent of emphysema. In the visual similarity assessment, two chest radiologists rated the similarity scores of the top 1 to 5 as 5, 5, 4, 4, and 4, respectively, and the other chest radiologist as 5, 4, 5, 4, and 4.