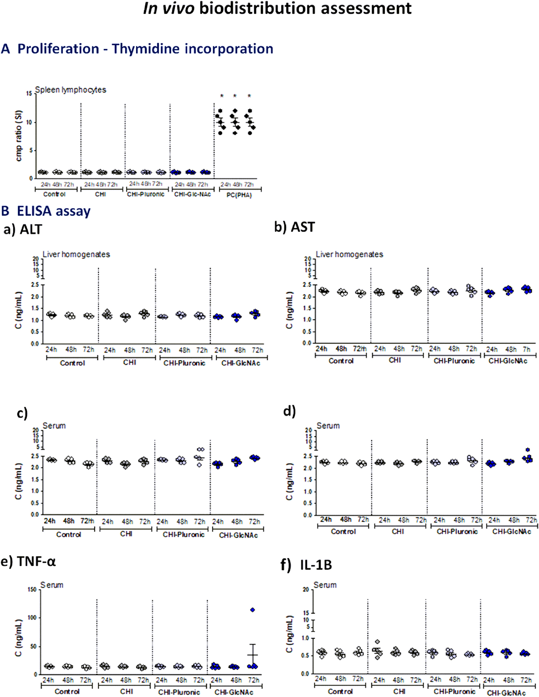
Figure 6

Biodistribution of tested blank chitosan microparticles in guinea pigs inoculated per os. Chitosan microparticles (CHI-MPs); chitosan microparticles with Pluronic F-127 (CHI-Pluronic), chitosan microparticles with N-Acetyl-d-Glucosamine (CHI-GlcNAc). Animals receiving per os tested MPs or 0.85% NaCl (control animals), were terminated for isolation of tissue samples (spleen, liver) or the collection of blood (A) Splenocytes were tested for proliferation in response to phytohemagglutinin (PHA), which was a positive control (PC) by (3H)-thymidine incorporation. Stimulation index (SI): radioactivity counts (cpm/min) of cells exposed to tested MPs/radioactivity of control cells (B) The level of alanine aminotransferase ALT (a) and aspartate aminotransferase AST (b) in liver tissue homogenates or serum (c,d); the level of tumor necrosis factor alfa (TNF-α) (e) or interleukin (IL)-1ß (f) in serum (ELISA). Five animals were in the group. The results are shown as median ± range.