Figure 1
From: Attention-guided jaw bone lesion diagnosis in panoramic radiography using minimal labeling effort

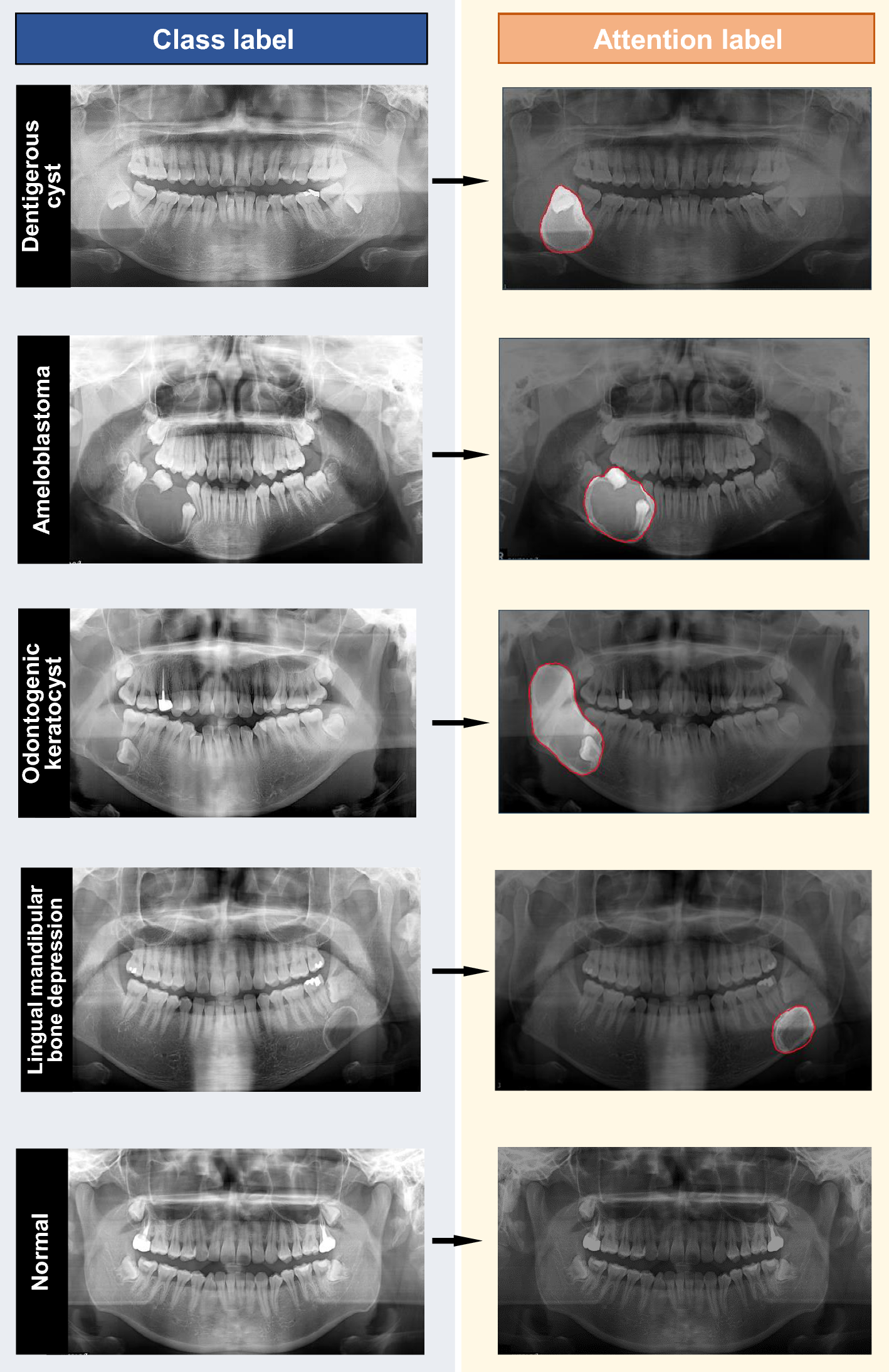
Data class label and attention label using box and border-specific annotation.
From: Attention-guided jaw bone lesion diagnosis in panoramic radiography using minimal labeling effort

Data class label and attention label using box and border-specific annotation.