Figure 2

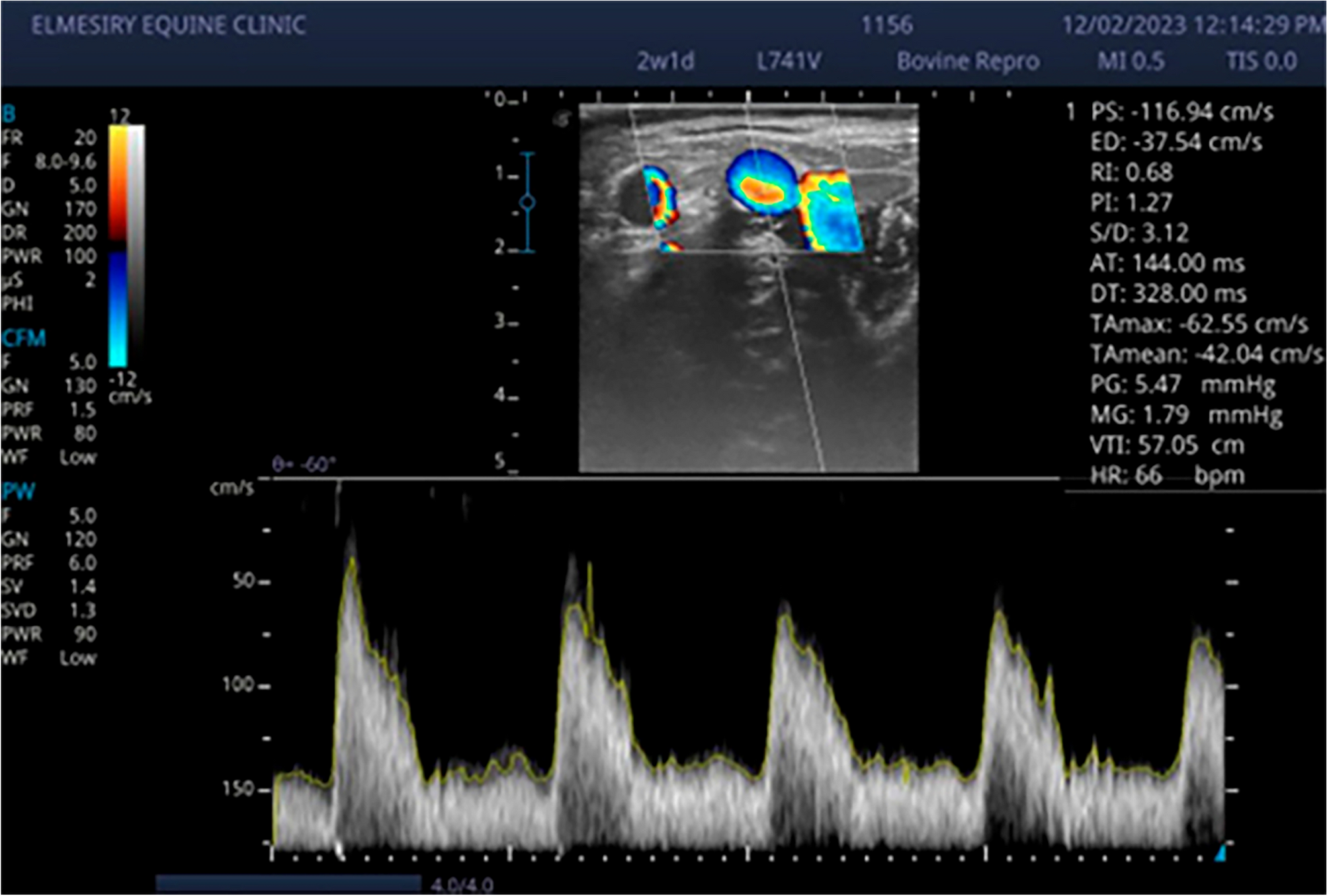
Doppler sonogram images illustrate waveform of at mid‐estrus buffalo cow; Waveforms diagnosed with clinical endometritis characterized by low RI and PI with significant (p < 0.05) increased of TAMEAN (cm/sec) and TAMAX (cm/sec).

Doppler sonogram images illustrate waveform of at mid‐estrus buffalo cow; Waveforms diagnosed with clinical endometritis characterized by low RI and PI with significant (p < 0.05) increased of TAMEAN (cm/sec) and TAMAX (cm/sec).