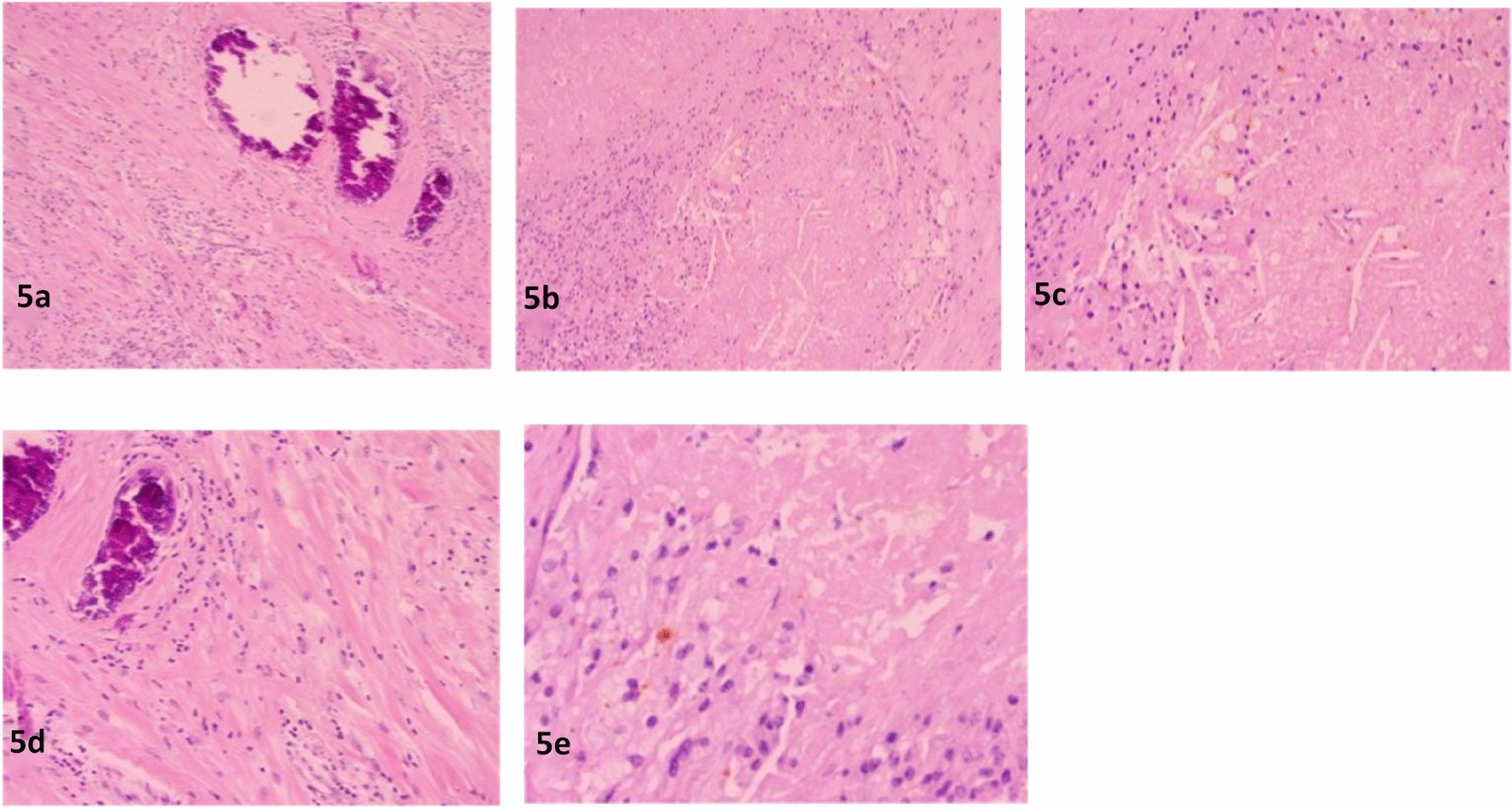
Figure 5

Post-treatment. (a) Fibrous tissue hyperplasia with infiltration of lymphocytes and focal calcification formation, HEX10. (b) Foamy tissue cell aggregation with coagulative necrotic foci formation, HEX10. (c) Foamy tissue cell aggregation with coagulative necrotic foci and cholesterol crystal formation, HEX20. (d) Fibrous tissue proliferation accompanied by infiltration of lymphocytes and focal calcification formation, HEX20. (e) Foamy tissue cell aggregation accompanied by coagulative necrotic foci formation, HEX40.