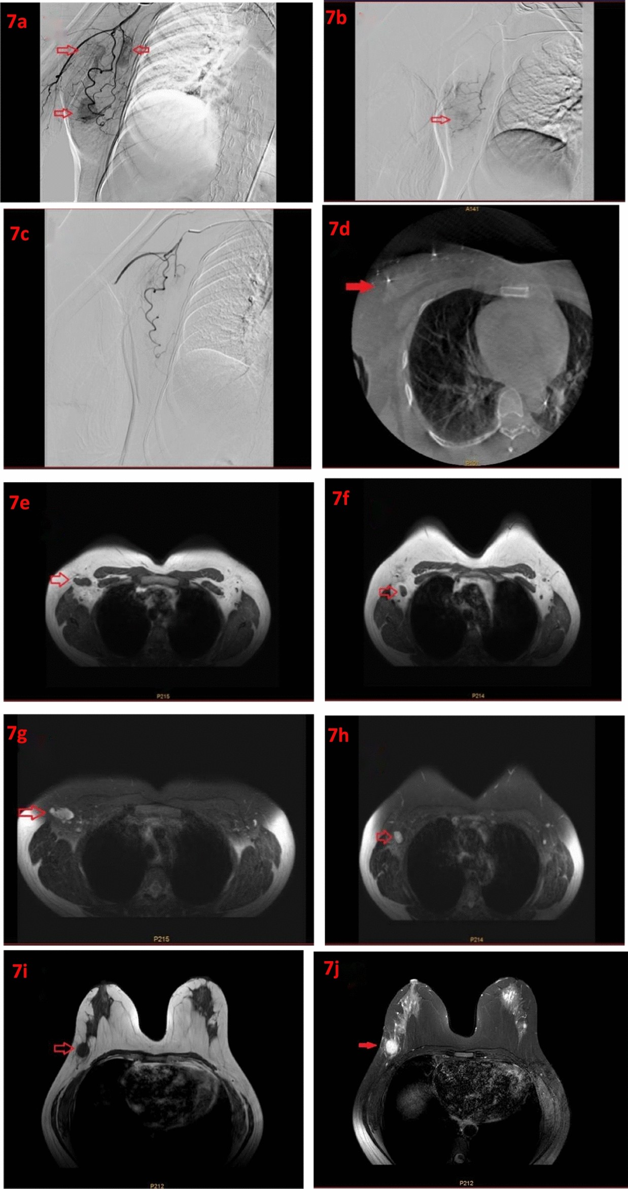
Figure 7

(a) Intraoperative imaging showing breast tumor and axillary lymph node staining. (b) Intraoperative imaging showing breast tumor and axillary lymph node staining. (c) Tumor staining disappeared after embolization. (d) Cone beam computed tomography (CBCT) showing breast tumor staining. (e) T1-weighted imaging of axillary lymph nodes (T1 WI). (f) T2-weighted imaging of axillary lymph nodes (T2 WI). (g) T1-weighted imaging (T1 WI). (h) T2-weighted imaging (T2 WI). (i) Axillary lymph nodes disappeared after treatment. (j) Primary breast lesions disappeared after treatment.