Figure 3
From: Physics informed contour selection for rapid image segmentation

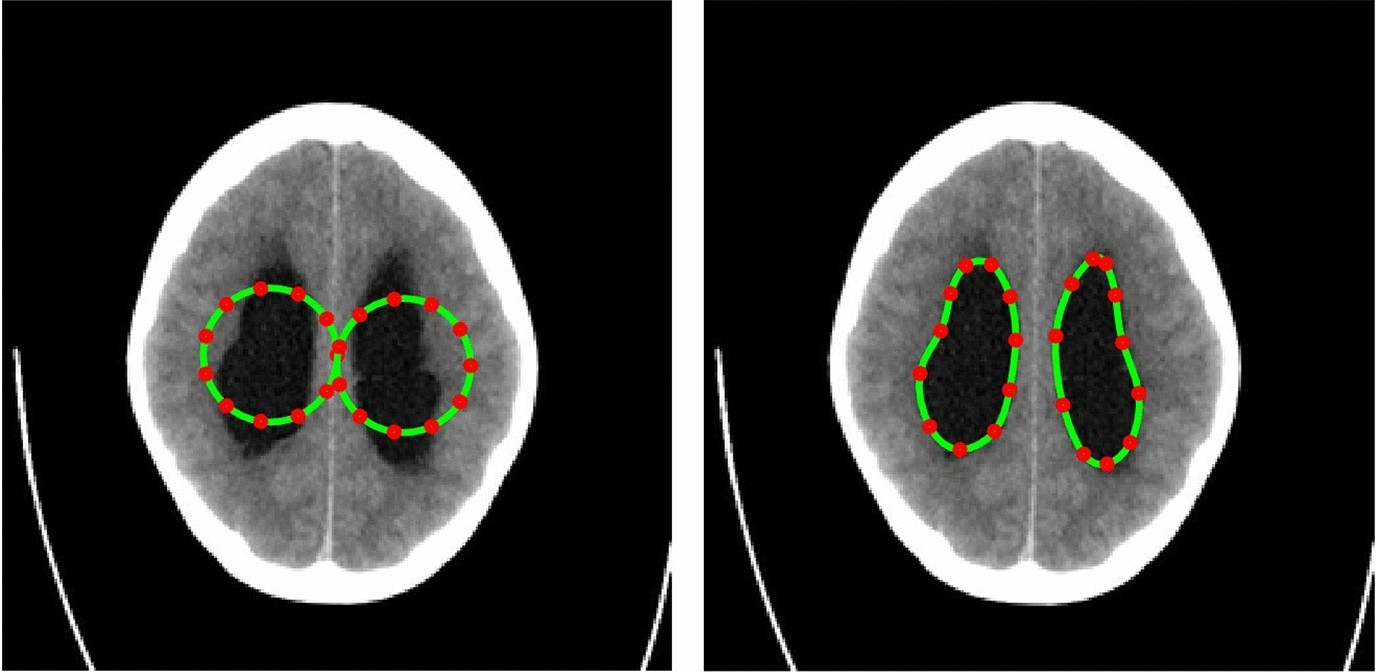
Segmentation of enlarged ventricles of a hydrocephalus patient. Left: Initial weights, Right: Optimized weights.
From: Physics informed contour selection for rapid image segmentation

Segmentation of enlarged ventricles of a hydrocephalus patient. Left: Initial weights, Right: Optimized weights.