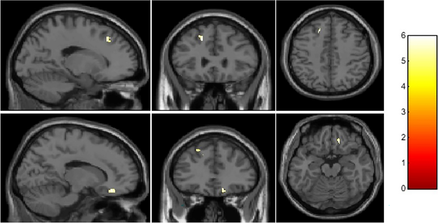
Figure 3

Statistical parametric maps overlaying averaged T1-weighted images show significantly smaller grey matter volume in the left superior and middle frontal gyrus (x = −15, y = 29, z = 42, cluster extent = 110) and right orbitofrontal cortex (x = 15, y = 35, z = −18, cluster extent = 54) in smokers compared with healthy non-smokers.