Figure 3
From: Phylogeny and structural modeling of the transcription factor CsqR (YihW) from Escherichia coli

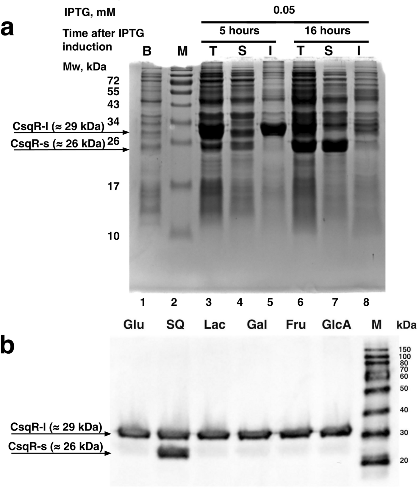
Detection of the short CsqR-s form. (a) Production of the recombinant CsqR protein in E. coli BL21 CodonPlus (DE3)-RIL after 5 and 16 h of growth on LB medium following IPTG induction at a final concentration of 0.05 mM. B—before induction, T—total cellular protein fraction, S—soluble fraction, I—insoluble fraction, M—protein molecular weight marker (Prestained Protein Marker #P7712, NEB). (b) Western blot analysis of CsqR-6xHis protein synthesis from the bacterial chromosome in E. coli str. K-12 MG1655. Above each line, the culture growth conditions are indicated: aerobic growth at 37˚C in the presence of 0.2% D-glucose (Glu), sulfoquinovose (SQ), lactose (Lac), D-galactose (Gal), D-fructose (Fru), or D-glucuronic acid (GlcA). M is the protein molecular weight marker (SuperSignal Molecular Weight Protein Ladder #84,785).